110年:放射診斷(2)
電腦斷層檢查如下圖,下列敘述何者最適當? 
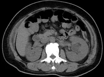
Aunenhanced abdomen CT
Bunenhanced pelvis CT
Cenhanced abdomen CT
Denhanced pelvis CT
詳細解析
本題觀念:
本題測驗放射師對於電腦斷層(CT)橫斷面解剖位置的辨識能力,以及判讀是否施打靜脈對比劑(IV contrast)的影像特徵。
影像分析:
- 解剖位置評估:
- 影像中央後方可見腰椎(Lumbar vertebra)。
- 脊椎兩側可見呈現蠶豆狀的實質器官,即為雙側腎臟(Kidneys)。
- 影像左側(即病患右側)前方可見**肝臟(Liver)**下緣組織。
- 影像前方有許多含有空氣與糞便的腸道(Bowel loops)。
- 綜合以上器官位置(肝、腎、腰椎),此切面無疑屬於腹部(Abdomen),。若為骨盆腔(Pelvis),則應見到骨盆骨骼(如腸骨、薦骨)、膀胱(Bladder)、直腸(Rectum)及生殖器官等構造。
- 對比劑增強評估:
- 觀察脊椎前方的腹主動脈(Abdominal aorta)與下腔靜脈(IVC),其 CT 密度(HU值)與旁邊的背肌軟組織相近,並未呈現明亮的亮白色(高密度)。
- 觀察**腎臟(Kidneys)與肝臟(Liver)**實質,並未出現因對比劑灌流而產生的皮質/髓質分化(corticomedullary differentiation)或顯影,腎盂等集尿系統也沒有對比劑排泄的亮白顯影。
...(解析預覽)...

升級 VIP 解鎖圖文解析