110年:放射診斷(2)
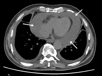
有心衰竭症狀的男性患者,未施打顯影劑的胸腔電腦斷層顯示心臟旁有不明病灶(如下圖箭號處)。經測量其密度約為 10 HU ,最有可能的診斷為何? 
A心包積水( pericardial effusion )
B心包積氣( pneumopericardium )
C氣縱膈( pneumomediastinum )
D心外脂肪過多症( epicardial lipomatosis )
詳細解析
本題觀念:
電腦斷層掃描(CT)利用亨氏單位(Hounsfield Unit, HU)來量化組織的射束衰減程度,進而區分不同的解剖結構與病理變化。不同物質具有特定的 HU 範圍:空氣約為 -1000 HU,脂肪約為 -50 至 -100 HU,水(單純液體)約為 0 至 20 HU,軟組織或肌肉約為 30 至 50 HU。透過測量病灶的 CT 值,醫事放射師能有效鑑別其為氣體、脂肪、液體或實質組織,提供臨床精確的診斷依據。
影像分析:
附圖為一張未施打顯影劑的胸部軸切面電腦斷層(Axial non-contrast chest CT)影像。
- 影像特徵:箭號所指處可見心肌外圍環繞著一圈均勻的低密度(low-attenuation)物質,該病灶局限於心包膜腔(pericardial sac)內,呈現新月形或環狀分佈。
- 密度比較:目視該病灶的灰階密度介於兩側肺野的空氣(極黑)與皮下脂肪(深灰)之上,但略低於中間的心肌與周圍的軟組織(淺灰)。此視覺特徵與題目所提供之測量數值「約 10 HU」完全吻合,確認為液體密度(fluid attenuation)。
選項分析
- (A) 心包積水(pericardial effusion):正確。心包膜腔內積聚異常液體。單純性心包積液(如漏出液 transudate)的 CT 密度通常介
...(解析預覽)...

升級 VIP 解鎖圖文解析