110年:放射診斷(2)
患者誤食雞骨頭,兩天後腹痛難耐,注射對比劑後的電腦斷層影像顯示異常處(如下圖箭號所示),最適當的診斷為何? 
A腸胃道穿孔( gastrointestinal perforation )
B內出血( internal bleeding )
C腸套疊( intussusception )
D闌尾炎( appendicitis peritonitis )
詳細解析
本題觀念:
本題測驗對於消化道異物吞入併發症的臨床警覺性,以及在腹部電腦斷層(CT)影像中辨識「氣腹(pneumoperitoneum)」與「游離液體(free fluid)」等腸胃道穿孔典型徵象的專業能力。
影像分析:
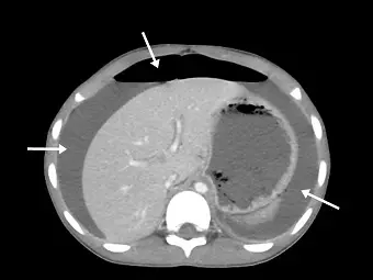
這是一張仰臥位(supine position)的腹部水平切面(axial view)電腦斷層影像,影像層面位於肝臟與胃部:
- 上方白色箭號:指向腹壁下方、肝臟與胃部前方一個巨大的半月形極低密度(黑色,呈現空氣密度)區域。因為病患平躺,腹腔內的游離空氣會往最高處(前腹壁下方)聚集,這是非常典型的**氣腹(pneumoperitoneum / free air)**徵象。
- 左側與右側白色箭號:分別指向肝臟周圍(perihepatic space)以及脾臟/胃部周圍(perisplenic space)的低密度液體堆積。這代表腹腔內有游離液體(free fluid / ascites),在腸胃道穿孔的情境下,這些液體通常是外漏的消化液、食物殘渣或發炎所產生的滲出液。
選項分析
- (A) 腸胃道穿孔(gastrointestinal perforation):病患有誤食尖銳異物(雞骨頭)的病史,且 CT 影像顯示明顯的氣腹(游離空氣)與腹腔內游離液體。尖銳異物刺穿腸胃道管壁後,會導致腸道內的氣體與液
...(解析預覽)...

升級 VIP 解鎖圖文解析