110年:放射診斷(2)
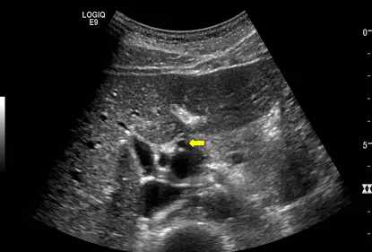
執行肝膽系統超音波掃描,出現如下圖的米老鼠徵象( Micky mouse sign )時,箭號所指的部位為: 
A肝動脈
B肝靜脈
C門靜脈
D總膽管
詳細解析
本題觀念:
在肝膽系統超音波掃描中,「米老鼠徵象」(Mickey mouse sign)是指在肝門部(porta hepatis)進行橫切面(Transverse view)掃描時,門脈三角(portal triad)內三個主要管狀構造所呈現的典型影像特徵。這三個構造分別為門靜脈(Portal vein)、總膽管(Common bile duct)與肝動脈(Hepatic artery)。掌握這三者的相對解剖位置,是醫事放射師在執行腹部超音波時的必備基礎。
影像分析:
- 影像視角:這是一張肝門部的標準超音波橫切面影像。在標準腹部橫切面設定下,畫面的左側代表病患的右側(外側,Lateral),畫面的右側代表病患的左側(內側,Medial)。
- 管腔特徵:影像中央清晰可見三個無回音(anechoic)的管狀構造,共同排列成「米老鼠」的頭部形狀。
- 臉部(下方/後方的大圓):為管徑最大的門靜脈(Portal vein)。
- 右耳(畫面左側/病患外側的小圓):位於門靜脈的前方外側,為總膽管(Common bile duct)。
- 左耳(畫面右側/病患內側的小圓):位於門靜脈的前方內側,為肝動脈(Hepatic artery)。
- 箭頭指示:黃色箭頭明確指向位於畫面右側(米老鼠的左耳)的小型
...(解析預覽)...

升級 VIP 解鎖圖文解析