110年:放射診斷(2)
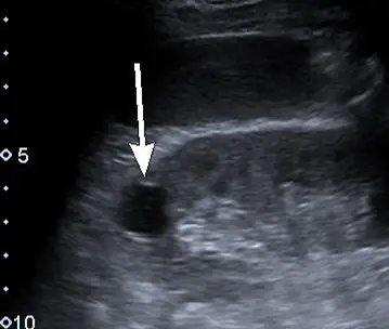
附圖為腎臟超音波影像,箭號所指最可能為何? 
Arenal cyst
Brenal tumor
Crenal hamartoma
Dmetastasis to kidney
詳細解析
本題觀念:
本題測驗醫事放射師對腎臟超音波影像中常見病灶的鑑別診斷能力,特別是區分液體囊腫(cystic)與實質固態腫瘤(solid)在超音波下的典型物理聲學特徵。
影像分析:
附圖為一張灰階腎臟超音波(renal ultrasound)影像。圖中箭號所指處位於腎實質(renal parenchyma)內,呈現出以下三個非常典型的超音波特徵:
- 無回音(Anechoic):病灶內部呈現全黑,沒有任何內部回音(internal echoes),代表其內容物為清澈液體。
- 邊緣平滑且界線清楚(Smooth and well-defined borders):病灶的壁極薄且規則,與周圍正常腎臟組織分界明顯。
- 後方回音增強(Posterior acoustic enhancement):病灶正後方的組織亮度明顯高於周遭同深度的組織。這是因為音波穿透囊腫內液體時的衰減(attenuation)遠小於穿透周遭實質組織,導致探頭接收到後方傳回的訊號相對較強。
選項分析
- (A) renal cyst:影像中「無回音、邊緣平滑、後方回音增強」為單純性腎囊腫(simple renal cyst)的標準三大超音波診斷要件,與圖中箭號所指特徵完全吻合。
- (B) renal tumor:腎臟固態腫瘤(如 renal c
...(解析預覽)...

升級 VIP 解鎖圖文解析