110年:放射診斷(2)
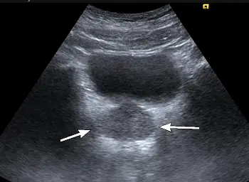
附圖為骨盆腔超音波橫向掃描,箭號所指為何? 
A膀胱
B儲精囊
C攝護腺
D直腸
詳細解析
本題觀念:
本題測驗骨盆腔超音波(Pelvic Ultrasound)的解剖構造辨識,特別是男性骨盆腔在經腹部超音波(Transabdominal Ultrasound)橫切面(Transverse scan)下的解剖相對位置。在進行男性骨盆腔掃描時,通常會利用漲滿的膀胱作為音窗(Acoustic window),以利於觀察其後下方的攝護腺及周邊構造。
影像分析:
- 探頭位置與掃描切面:這是一張經腹部超音波的橫切面(Transverse view)影像。
- 無回音(Anechoic)區域:影像中上方呈現大範圍黑色、無回音的囊狀構造,這是充滿尿液的膀胱(Urinary bladder),在此扮演極佳的音窗角色,使得後方的組織得以清晰成像。
- 箭頭所指之構造:白色箭號指著位於膀胱正後下方的一個實質(Solid)、呈現中度回音(Mid-level echogenicity)、外觀略呈橢圓形且邊界尚稱清楚的腺體構造。根據男性骨盆腔的解剖位置,此緊鄰膀胱頸下方的構造即為攝護腺(Prostate)。
選項分析
- (A) 膀胱(Urinary bladder):在影像中為上方大面積黑色無回音(Anechoic)的液體區域。箭號並非指向此處。
- (B) 儲精囊(Seminal vesicle):儲精
...(解析預覽)...

升級 VIP 解鎖圖文解析