110年:放射器材(1)
進行胸部診斷攝影時,若病人擺位許可,陰極應擺放在圖中那一側較為適當? 
AA側
BB側
CC側
DD側
詳細解析
本題觀念:
本題測試的核心觀念為 X 光攝影物理學中的**「陽極跟效應」(Anode Heel Effect,或稱陽極足跟效應)**。在 X 光管中,由於陽極靶面具有傾斜角度,當高能電子撞擊靶面產生 X 光時,朝向陽極端射出的 X 光光子必須穿透較多的靶金屬材質,導致部分 X 光被靶材質本身吸收(衰減)。因此,X 光射束的強度分布並不均勻,陰極側的輻射強度較強,而陽極側的輻射強度較弱。
在臨床攝影擺位時,為了使影像接收器上的曝光均勻,應將解剖結構中較厚或密度較高的部位對準「陰極側」,而較薄或密度較低的部位對準「陽極側」。
影像分析:
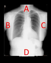
本題提供一張標準的胸部正面 X 光影像(AP 或 PA view),影像標示了四個方位:
- A側:位於影像最上方,對應人體的頸部與肺尖(Apices)。此區域大多為充滿空氣的肺部組織,且肌肉脂肪層較薄,整體組織密度與厚度最低。
- B側:位於影像左側,為病患的右側(Right side,影像左上角標有 'R'),對應右側胸壁與肩臂區域。
- C側:位於影像右側,為病患的左側(Left side),可見心臟陰影朝此側偏移。
- D側:位於影像下方,對應下胸部與上腹部。此區域包含了橫膈膜(Diaphragm)、肝臟、胃等實質臟器以及較厚的腹部軟組織,整體厚度與密度遠大於上
...(解析預覽)...

升級 VIP 解鎖圖文解析