110年:放射器材(1)
承上題【進行胸部診斷攝影時,若病人擺位許可,陰極應擺放在圖中那一側較為適當?】,其主要原因為何? 
A管電壓不均勻
BX光管內部真空不均勻
C管電流不均勻
DX光穿越靶極厚度不同
詳細解析
本題觀念:
本題探討 X 光管的「陽極踵效應」(Anode Heel Effect)之物理成因及其臨床應用的基本原理。
影像分析:
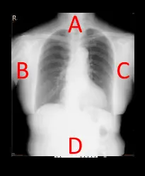
圖片為一張典型的胸部後前向(PA view)X 光影像,圖中分別標示了四個位置:
- A側:位於上胸部與下頸部區域,此處組織較薄,且肺部含有大量空氣,X 光容易穿透。
- B側與C側:為兩側外緣胸壁與腋下區域。
- D側:位於下胸部與上腹部交界處,包含橫膈膜、肝臟等實質器官以及較厚的腹部肌肉與脂肪組織,此處整體解剖厚度較厚、密度較高,X 光穿透難度較大。 在前一題中,為了獲得整體黑化度(Density)均勻的影像,需要將 X 光強度較高的陰極端放置於組織較厚的 D側,而強度較低的陽極端放置於 A側。本題則進一步詢問造成陰極與陽極兩端強度差異的物理原因。
選項分析
- A. 管電壓不均勻:錯誤。管電壓(kVp)由高壓產生器控制,主要決定 X 光的最大能量與射束穿透力,並非造成單次曝露時照射野內部強度分布不對稱的主因。
- B. X光管內部真空不均勻:錯誤。X 光管內部必須維持高度真空,目的是避免高速電子流在射向陽極的途中與氣體分子碰撞而損失能量或導致游離,這與 X 光強度的空間性差異分佈無關。
- C. 管電流不均勻:錯誤。管電流(mA)決
...(解析預覽)...

升級 VIP 解鎖圖文解析