110年:放射診斷(1)
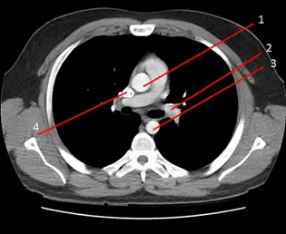
下圖為 chest CT影像,升主動脈( ascending aorta )位於下列那一個編號? 
A1
B2
C3
D4
詳細解析
本題觀念:
本題測驗胸部電腦斷層(Chest CT)的基礎橫斷面(Axial plane)解剖構造。對於醫事放射師而言,熟悉不同切面下大血管(Great vessels)、心臟腔室以及氣管系統的相對位置,是執行影像檢查(如 CT Angiography)、放置對比劑追蹤感興趣區(ROI)及確保影像品質的核心基本功。此切面位於肺動脈分叉(Pulmonary artery bifurcation)的高度,是胸部 CT 評估縱膈腔(Mediastinum)非常關鍵的解剖層次。
影像分析:
提供的圖片為一張施打靜脈對比劑的胸部電腦斷層軸狀面影像(Axial contrast-enhanced chest CT),使用縱膈腔窗(Mediastinal window)顯示。 在肺動脈幹分叉的層次,我們可以依序辨識出以下重要標號的解剖構造:
- 編號 1:位於縱膈腔前中半部,呈現巨大、圓形且內部充滿對比劑高訊號的血管結構。此為升主動脈(Ascending aorta)。
- 編號 2:位於升主動脈的後方及左側(影像的右方),正在向左後方延伸的血管,此為**主肺動脈(Main pulmonary artery)延伸至左肺動脈(Left pulmonary artery)**的位置。
- 編號 3:位於縱膈腔後方,緊貼著胸椎椎體左
...(解析預覽)...

升級 VIP 解鎖圖文解析