110年:放射診斷(1)
附圖中箭號所指那一項最正確? 
A腸液外漏
B尿液外漏
C膽汁外漏
D胃液外漏
詳細解析
本題觀念:
本題主要測驗放射師對於**腹部電腦斷層延遲相(Delayed phase / Excretory phase)的影像判讀,以及泌尿道系統破裂與尿液外漏(Urine extravasation / Urinoma)**的典型影像特徵。
影像分析:
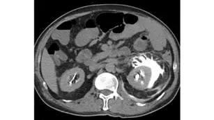
- 造影相(Phase)判定:這是一張腹部無花果軸切面(Axial)電腦斷層影像,位於雙側腎臟水平。可以觀察到雙側腎臟的集尿系統(腎盂與腎盞)內皆充滿了高密度的顯影劑。這表示此影像是在靜脈注射顯影劑後的一段時間(通常為 5-15 分鐘)所擷取,屬於延遲相(Delayed phase)或排泄相(Excretory phase)。
- 正常構造:右側腎臟(影像左側)的顯影劑正常地侷限在腎盂與腎盞系統內。
- 病灶特徵:左側腎臟(影像右側)周圍的**腎周隙(Perirenal space,位於 Gerota's fascia 內)**出現了大量且明顯的高密度液體積聚。由於其密度與腎盂內的含顯影劑尿液相同,這代表含有顯影劑的尿液已經從左側泌尿系統(可能是腎盂或腎盞穹窿)破裂處漏出,積聚在腎臟周圍。
- 缺失的標示:儘管題幹明確詢問「附圖中箭號所指」,但提供的影像中完全沒有畫出任何箭號。
選項分析
- **A. 腸液外漏 (Intestinal f
...(解析預覽)...

升級 VIP 解鎖圖文解析