110年:放射診斷(1)
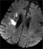
附圖為何種 MR影像? 
ADWI( diffusion weighted imaging )
BPWI( perfusion weighted imaging )
CADC( apparent diffusion coefficient ) map
DFLAIR( fluid attenuated inversion recovery)
詳細解析
本題觀念:
本題測驗醫事放射師對磁振造影(MRI)不同脈衝序列(pulse sequences)影像特徵的辨識能力,特別是在評估急性缺血性腦中風(acute ischemic stroke)時,各個序列的典型影像表現與物理特性。
影像分析:
- 影像品質與假影:此為腦部軸切面(axial view)MRI 影像。畫面呈現較低的空間解析度(low spatial resolution)與明顯的顆粒感,這是回音平面造影(Echo-Planar Imaging, EPI)技術的典型特徵。
- 背景組織與液體訊號:兩側側腦室內的腦脊髓液(CSF)呈現低訊號(暗色)。
- 病灶特徵:在右側大腦半球(corona radiata / centrum semiovale 區域周邊)可見一處極為明顯的局部高訊號(亮色)病灶。此特徵在臨床上高度提示該區域發生了「限制性擴散」(restricted diffusion),為急性缺血性中風引發細胞毒性水腫(cytotoxic edema)的經典表現。
選項分析
- (A) DWI(diffusion weighted imaging):正確。DWI 常用 EPI 序列擷取,因此影像具備較粗糙的顆粒感與略微的幾何形變。在 DWI 中,自由擴散的水分子(如腦室內的 CSF)會快速失去相位而呈現
...(解析預覽)...

升級 VIP 解鎖圖文解析