110年:放射診斷(1)
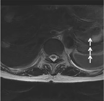
附圖中,箭號所指處為下列何種假影? 
Aaliasing
Btruncation
Cphase-encoded motion
Dchemical shift
詳細解析
本題觀念:
本題測驗的是磁振造影(MRI)中常見的影像假影(artifacts)之成因與影像特徵。在 MRI 中,不同的假影具有特定的發生方向及視覺特徵,放射師必須具備辨識假影種類並應用相應參數調整或技術來消除假影的能力。
影像分析:
- 影像為上腹部/下胸腔的軸切面(axial plane)磁振造影影像。
- 圖中白色箭號指著在垂直方向(前後向,anterior-posterior)上出現的一系列重複、半透明的解剖構造輪廓(如皮下脂肪層或高訊號血管的殘影)。
- 這些殘影呈現週期性的排列,並橫跨了整個視野(FOV),覆蓋在正常的解剖構造之上。
- 這種沿著特定軸向(通常是相位編碼方向,phase-encoding direction)傳遞的重複性殘影,是典型的「鬼影假影(ghosting artifact)」,主要由掃描期間的週期性運動所引起。
選項分析
- A. aliasing(捲積假影/摺疊假影):當設定的視野(FOV)小於實際受檢部位的尺寸時,FOV 外的組織訊號會錯誤地摺疊(wrap-around)並出現在影像的對側。本圖並未顯示出對側解剖構造摺疊至影像內的特徵。
- B. truncation(截斷假影/Gibbs 假影):這是一種由於 k-space 數據取樣不足(特別是在高頻部分)所引起的假影,通常在影像中高對比的交界面
...(解析預覽)...

升級 VIP 解鎖圖文解析