110年:放射診斷(1)
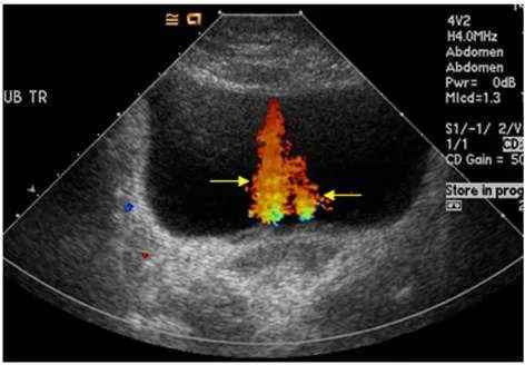
附圖為橫向膀胱彩色都卜勒超音波掃描,箭號所指為何? 
Atwinkling artifact
Bedge artifact
Cflash artifact
Djet phenomenon
詳細解析
本題觀念:
本題測驗彩色都卜勒超音波(Color Doppler Ultrasound)在泌尿系統的臨床應用,特別是觀察尿液從輸尿管進入膀胱時所產生的流體動力學現象。利用彩色都卜勒超音波,可以觀察到因尿液比重差異與流速所產生的獨特訊號,藉此評估輸尿管的通暢度與功能。
影像分析:
附圖為一張橫向(Transverse)的膀胱彩色都卜勒超音波影像。
- 背景結構:影像中央大片無回音(Anechoic,黑色)的區域為充滿尿液的膀胱(Urinary bladder)。
- 彩色都卜勒訊號:在膀胱後壁(接近膀胱三角區,Bladder trigone)的位置,可見一束呈現紅、黃、綠相間的彩色訊號向膀胱腔內噴射。
- 箭號指示:黃色箭號精準地指著這道彩色水流訊號。此訊號並非血管內的血流,而是尿液藉由輸尿管的蠕動,從輸尿管口(Ureteral orifice)間歇性地被擠壓、噴射進入膀胱腔內的過程,在臨床上稱為「輸尿管噴射現象」(Ureteral jet phenomenon)。
選項分析
- A. twinkling artifact(閃爍假影):這是一種在彩色都卜勒超音波下常見的假影,通常發生在具有粗糙表面的強烈反射物(如:腎結石、膽結石或鈣化組織)後方。表現為紅藍相間、快速閃爍的馬賽克彩色訊號。圖中訊號為噴射狀液體流動,並
...(解析預覽)...

升級 VIP 解鎖圖文解析