110年:放射診斷(1)
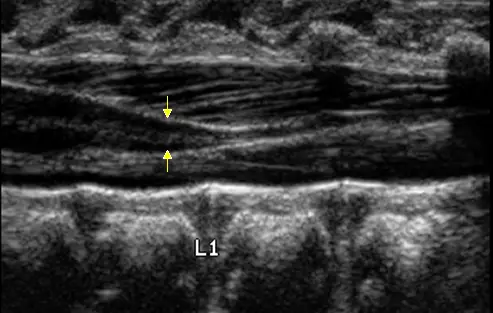
新生兒脊椎超音波檢查如附圖,箭號所指為何? 
A馬尾( cauda equina )
B脊髓圓錐( conus medullaris )
C腦脊髓液
D神經根
詳細解析
本題觀念:
本題測驗新生兒脊椎超音波(neonatal spinal ultrasound)的正常解剖構造辨識。由於新生兒的脊椎後弓(posterior arch)尚未完全骨化,能夠提供良好的超音波音窗(acoustic window),因此超音波是評估新生兒脊髓、神經根及周圍構造的首選影像工具。
影像分析:
- 切面與位置:此為新生兒腰椎的矢狀切面(sagittal plane)超音波影像。影像下方可見標示為「L1」的腰椎椎體(lumbar vertebral body)。
- 神經解剖構造:
- 在椎管內,背景呈現無回音(anechoic,黑色)的區域為腦脊髓液(cerebrospinal fluid, CSF)。
- 腦脊髓液包覆著一條低回音(hypoechoic)的管狀構造,且中央有一條明顯的高回音細線(代表脊髓中央管 central canal),此管狀構造即為脊髓。
- 箭號所指處:可以看到脊髓在 L1 的高度逐漸變細,形成一個錐狀(tapering)的末端,這個特徵性的解剖構造即為脊髓圓錐(conus medullaris)。
- 在脊髓圓錐的下方,可以隱約看到多條細長的高回音線條,這些是向尾側延伸的**馬尾(cauda equina)**神經根。
選項分析:
- **(A) 馬尾(c
...(解析預覽)...

升級 VIP 解鎖圖文解析