108年:醫學三(2)
44 歲女性有酗酒習慣,某日熬夜喝酒之後突然口語不清,吞嚥困難,因此被送到急診求治;患者未注射對比劑的電腦斷層掃描檢查如圖,最可能的診斷為何? 
A小腦梗塞
B小腦出血
C腦幹梗塞
D腦幹出血
詳細解析
本題觀念:
本題考查後顱窩(posterior fossa)出血性病變的電腦斷層(CT)影像判讀,以及酗酒相關腦幹出血(brainstem hemorrhage)的臨床特徵。重點在於區分腦幹出血與小腦出血的 CT 影像位置與臨床表現。
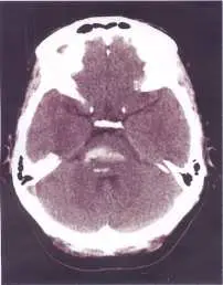
影像分析:
非對比劑 CT(non-contrast CT)影像所見:
- 高密度病灶(hyperdense lesion):影像中後顱窩可見一明顯白色高密度區域,代表急性出血(血液在 CT 中呈高密度,Hounsfield unit 約 50–80 HU)
- 病灶位置:高密度病灶位於後顱窩的中央/旁中央區域,對應解剖位置為腦幹(brainstem),尤其是橋腦(pons)部位,而非小腦半球(cerebellar hemisphere)外側
- 小腦半球外觀:雙側小腦半球密度相對正常,未見明顯局部高密度病灶
- 第四腦室:第四腦室受壓,可能有輕度受壓或移位
- 結論:影像表現與**腦幹出血(brainstem hemorrhage)**最為一致,具體為橋腦出血(pontine hemorrhage)
選項分析
(A) 小腦梗塞(cerebellar infarction)
- 小腦梗塞在急性期非對比劑 CT 通常表現為**低密度(hypodense)
...(解析預覽)...
![醫師[2] - 內科學概論 - AI 圖文解析預覽](/_next/image?url=https%3A%2F%2Fbgvxfcrmbdvefjhuvrmt.supabase.co%2Fstorage%2Fv1%2Fobject%2Fpublic%2Fvisual-explanations%2F679%2F45163_t693n395p.webp&w=3840&q=75)
升級 VIP 解鎖圖文解析