108年:醫學五(2)
一位 32 歲男性左股骨幹骨折( femoral shaft fracture ),手術後 2年半,仍時常感到左大腿疼痛,無法負重行走,其 X光檢查結果如下圖。下列敘述何者錯誤? 
A可能造成骨折不癒合( nonunion )因素包括受傷時合併嚴重軟組織傷害、感染、骨折固定不夠穩定、營養不 良、吸煙、長期使用類固醇等
B骨折的手術治療,應盡量將骨折斷端的軟組織從骨頭上 剝離( excessive soft tissue stripping from bone ),以 充分檢視骨折斷端並對齊固定,可減少骨折不癒合( nonunion )的發生
C此病例的診斷 為增生性不癒合( hypertrophic nonunion ),常因為骨折固定的穩定度不足而造成
D此病例可採用更換較大的骨髓 內釘( intramedullary nail )及骨移植( bone grafting )進行治療
詳細解析
本題觀念:
股骨幹骨折(femoral shaft fracture)術後骨折不癒合(nonunion)的分類與治療原則,尤其是增生性不癒合(hypertrophic nonunion)的病理機制。本題為反向題(問何者錯誤)。
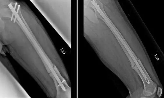
影像分析:
X 光呈現正位(AP)及側位(lateral)兩個方向的股骨影像。可見股骨中段放置了一根骨髓內釘(intramedullary nail),釘體貫穿骨髓腔,近端與遠端均有鎖定螺釘(interlocking screws)固定。骨折部位可見大量骨痂(callus)形成,外觀蓬鬆豐厚、呈「象腳」(elephant's foot)外形,但骨折線仍清晰可辨,未見骨小樑跨越骨折端,代表雖有旺盛的生物癒合反應,骨折卻仍未癒合(nonunion)。此影像型態符合**增生性不癒合(hypertrophic nonunion)**的典型 X 光表現。骨髓內釘本身無明顯彎曲或斷裂,釘子較細,穩定性可能不足。
選項分析
(A) ✅ 正確陳述:造成骨折不癒合的因素包括嚴重軟組織損傷、感染、固定穩定度不足、營養不良、吸煙、長期使用類固醇等。此敘述完全正確,符合文獻共識。
(B) ❌ 錯誤陳述(答案):「盡量將骨折斷端的軟組織從骨頭上剝離(excessive soft tissue stripping)可
...(解析預覽)...
![醫師[2] - 下肢與軸性骨折 - AI 圖文解析預覽](/_next/image?url=https%3A%2F%2Fbgvxfcrmbdvefjhuvrmt.supabase.co%2Fstorage%2Fv1%2Fobject%2Fpublic%2Fvisual-explanations%2F681%2F45306_t316w1x0j.webp&w=3840&q=75)
升級 VIP 解鎖圖文解析