108年:醫學五(2)
3歲小男生走路搖搖擺擺,步態不穩,髖關節 X光檢查如附圖,最可能的診斷為何?

ALegg -Calvé-Perthes disease
Bslipped femoral capital epiphysis
Cdevelopmental dysplasia of the hip (DDH )
Dosteochondrosis
詳細解析
本題觀念:
本題考核兒科髖關節疾病的 X 光影像判讀,以及步態異常的鑑別診斷。3 歲男童走路搖搖擺擺(蹣跚步態/鴨子步),合併髖關節 X 光異常,需從四個常見小兒髖關節疾病中選出最正確的診斷。
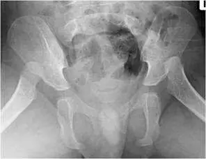
影像分析:
本題提供兩張髖關節 X 光片:
第一張(骨盆正面 AP 觀):
- 可見完整骨盆正面影像,包含薦髂關節、恥骨聯合、兩側髖臼及股骨近端。
- 左側髖關節:股骨頭(femoral head)向外上方移位,位置偏高,未能良好嵌入髖臼(acetabulum)內,髖臼頂部較淺,骨化程度可見,形態扁平。
- 右側髖關節:股骨頭位置亦有偏移跡象,顯示可能為雙側受影響,但程度可能不同。
- Shenton 線(Shenton's line):自股骨頸內側緣至恥骨下枝下緣應形成連續平滑弧線,此案可見左側 Shenton 線明顯中斷,提示髖關節半脫位或脫位。
- 髖臼指數(acetabular index):髖臼頂部角度增大,顯示髖臼發育不良(acetabular dysplasia)。
第二張(另一角度或局部放大觀):
- 可見骨盆及股骨近端,呈現雙側股骨頭相對於髖臼的位置異常,股骨頭位置偏外上方。
- 髖臼窩淺,股骨頭覆蓋率不足,與發育性髖關節發育不良(developmental dysplasia of the hip, D
...(解析預覽)...
![醫師[2] - 運動醫學與關節重建 - AI 圖文解析預覽](/_next/image?url=https%3A%2F%2Fbgvxfcrmbdvefjhuvrmt.supabase.co%2Fstorage%2Fv1%2Fobject%2Fpublic%2Fvisual-explanations%2F681%2F45323_t2i6g4f06.webp&w=3840&q=75)
升級 VIP 解鎖圖文解析