108年:醫學六(2)
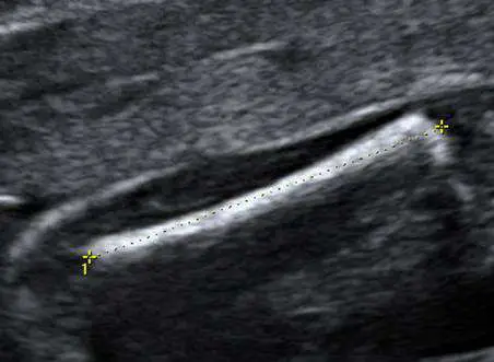
45 歲孕婦, G5P4 ,妊娠週數不明,接受產科超音波檢查,正在測量標的的名稱(雙十字之間)為何? 
ABPD (biparietal diameter )
BAC (abdominal circumference )
CFL (femur length )
DNT (nuchal translucency )
詳細解析
本題觀念:
產科超音波胎兒生物測量(fetal biometry)是評估胎兒生長及推算妊娠週數的標準工具。本題考驗對四大主要胎兒生物測量指標的影像辨識,尤其是**股骨長度(femur length, FL)**的超音波特徵。
影像分析:
影像為二維產科超音波黑白灰階影像。畫面中可見一條細長、高回音(hyperechoic)、表面光滑的線形骨性結構,其特徵如下:
- 結構呈長條骨幹狀,兩端稍為膨大(股骨遠端及近端骨骺,為軟骨,回音較低,不計入測量範圍)
- 兩個黃色十字(雙十字)游標分別置於骨幹的兩端(近端大轉子至遠端股骨幹末端),以虛線相連,即為**FL(股骨長)**的測量標記
- 骨幹本身為高回音的細長白色線條,背後可見淡薄聲影(acoustic shadow),符合骨骼的超音波表現
- 無頭顱結構(排除 BPD/HC 測量)、無腹部橫切面(排除 AC 測量)、無頸後積液影像(排除 NT 測量)
此影像為測量胎兒股骨長度(FL)的標準切面,測量對象為已骨化的股骨骨幹(ossified femoral diaphysis),不包含軟骨部分。
選項分析
(A) BPD(biparietal diameter,雙頂徑) ❌ 錯誤。BPD 是測量胎兒頭顱兩側頂骨之間的橫徑,需在**丘腦間平面(t
...(解析預覽)...
![醫師[2] - 胎兒評估與產前遺傳診斷 - AI 圖文解析預覽](/_next/image?url=https%3A%2F%2Fbgvxfcrmbdvefjhuvrmt.supabase.co%2Fstorage%2Fv1%2Fobject%2Fpublic%2Fvisual-explanations%2F682%2F45361_t4g63470k.webp&w=3840&q=75)
升級 VIP 解鎖圖文解析