108年:醫學六(2)
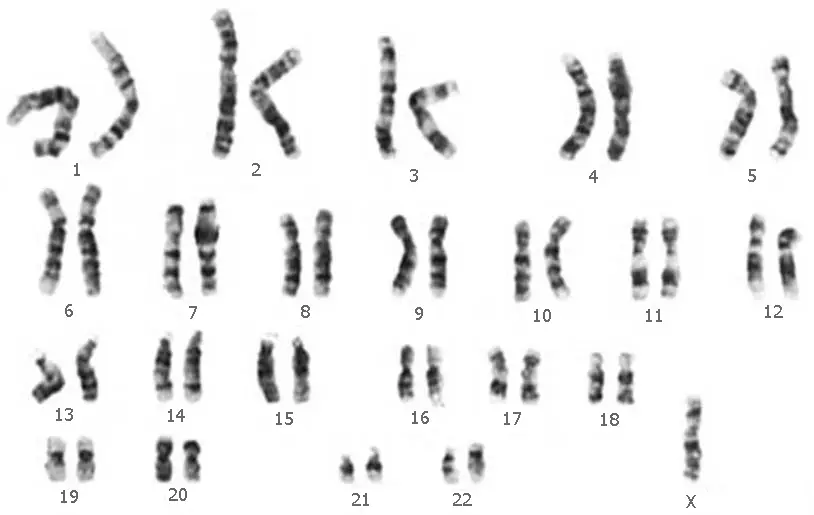
15 歲就讀國三的女生因為至今仍無初經,由媽媽陪同前來看診。她身高 140 公分,體重 35 公斤。理學檢查發現無第二性徵,有明顯的蹼狀頸( webbed neck )。媽媽回憶女兒小時候因為先天性心臟病有接受過手術,也帶來過去做的染色體檢查報告,如圖所示。關於這名患者的狀況,下列敘述何者正確? 
A抽血驗 FSH/LH/Estradiol 的數值應是三者皆低
B應建議病患立即手術切除性腺,因有癌變的風險
C此疾病患者全無子宮發育
D此疾病患者若 為鑲嵌染色體型( mosaicism )仍可能有正常月經
詳細解析
本題觀念:
本題考核 Turner 症候群(Turner syndrome, TS)的核心特徵:染色體核型、荷爾蒙表現、性腺癌變風險及鑲嵌型(mosaicism)的臨床意義。
影像分析:
圖示為患者的染色體核型分析(karyotype)。影像中可見 22 對體染色體排列整齊,但性染色體區域僅有單一 X 染色體,完全缺少第二條性染色體(無第二條 X,亦無 Y 染色體),總染色體數為 45 條。此即經典 Turner 症候群的核型 45,X(或寫作 45,X0)。染色體形態本身無結構異常,為單純性染色體數目異常(monosomy X)。此核型確認了患者具有完全性染色體單倍體,為最嚴重型 Turner 症候群,幾乎無自發性青春期發育的可能性。
選項分析
(A) 抽血驗 FSH/LH/Estradiol 的數值應是三者皆低 ❌ 錯誤。Turner 症候群因卵巢發育不全(gonadal dysgenesis),卵巢呈條狀纖維組織(streak gonads),幾乎無功能性卵泡,雌激素(estradiol)極低。雌激素無法提供負回饋(negative feedback)給下視丘-腦垂體軸,導致 FSH 和 LH 代償性升高。正確模式為:FSH↑、LH↑、Estradiol↓,即高性腺素低性腺機能症(hyperg
...(解析預覽)...
![醫師[2] - 月經異常與生殖內分泌疾病 - AI 圖文解析預覽](/_next/image?url=https%3A%2F%2Fbgvxfcrmbdvefjhuvrmt.supabase.co%2Fstorage%2Fv1%2Fobject%2Fpublic%2Fvisual-explanations%2F682%2F45384_t5h2d693j.webp&w=3840&q=75)
升級 VIP 解鎖圖文解析