108年:醫學六(2)
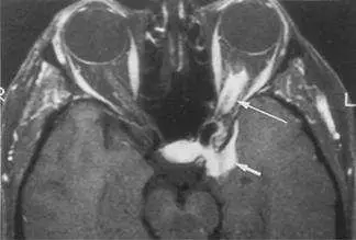
40 歲女性患者,主訴幾個月來左眼視力逐漸減退,接受磁振造影檢查,圖為注射顯影劑後並且經過抑制脂肪處理的 T1 加權影像,圖中箭號所指最可能的病變是: 
A視神經膠質瘤( optic nerve glioma )
B視神經鞘腦膜瘤( optic nerve sheath meningioma )
C視神經炎( optic neuritis )
D眼窩假性腫瘤( orbital pseudotumor )
詳細解析
本題觀念:
本題考核眼窩磁振造影(MRI)的影像判讀,重點在識別視神經鞘腦膜瘤(optic nerve sheath meningioma, ONSM)的特徵性影像表現,並與其他視神經病變(視神經膠質瘤、視神經炎、眼窩假性腫瘤)做鑑別診斷。本例為40歲女性,數月來漸進性單側視力減退,MRI 為注射顯影劑後加脂肪抑制的 T1 加權影像,是 ONSM 最佳診斷序列。
影像分析:
本題提供的為軸位(axial)後顯影劑注射、脂肪抑制 T1 加權 MRI 影像。兩側眼球清晰可見,球後區域可觀察到:
- 左側視神經(箭號所指):視神經鞘呈明顯強化(高訊號),包繞視神經形成典型的「軌道狀強化(tram-track sign)」——即視神經本身訊號偏低(不強化),而其外圍的腦膜鞘呈周圍環形強化。
- 強化型態:腫塊沿視神經呈管狀/筒狀擴展,強化均勻且顯著,是 ONSM 的典型特徵。
- 脂肪抑制序列的意義:眼窩脂肪訊號已被抑制(低訊號),使強化的腫瘤更加突出,清楚顯示強化範圍沿神經鞘分布。
- 視神經本身:於強化的鞘中可隱約辨別中央低訊號的視神經,此「神經中央條紋」伴周邊環形強化,軸位即呈 tram-track sign,冠狀位則呈 doughnut sign(甜甜圈徵象)。
此影像表現高度符合視神經鞘腦膜瘤(optic nerve shea
...(解析預覽)...
![醫師[2] - 眼瞼、結膜、眼窩病變及其他眼科疾病 - AI 圖文解析預覽](/_next/image?url=https%3A%2F%2Fbgvxfcrmbdvefjhuvrmt.supabase.co%2Fstorage%2Fv1%2Fobject%2Fpublic%2Fvisual-explanations%2F682%2F45401_t2x6a506p.webp&w=3840&q=75)
升級 VIP 解鎖圖文解析