108年:醫學四(1)
新⽣兒出⽣後即有呼吸窘迫、唇⾊發紫、胸部較腹部來得⾼突的現象。⾝體診察發現最⼤⼼⾳在右側。胸腹部X光片如附圖,最有可能的診斷為何? 
A張⼒性氣胸( Tension pneumothorax )
B食道閉鎖( Esophageal atresia )
C⼗⼆指腸閉鎖( Duodenal atresia )
D橫膈膜疝氣( Diaphragmatic hernia )
詳細解析
本題觀念:
本題考查新生兒先天性橫膈膜疝氣(congenital diaphragmatic hernia, CDH)的臨床表現與胸腹部 X 光影像判讀,需與其他引起新生兒呼吸窘迫的疾病鑑別。
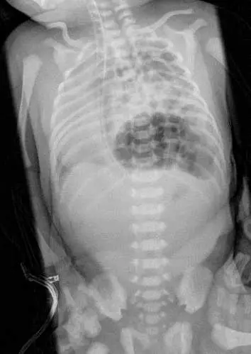
影像分析:
X 光片為新生兒胸腹部正面(AP)投影,影像可見以下關鍵發現:
- 左側胸腔充滿氣泡狀陰影:左側胸腔內可見多個大小不一的氣泡狀(bubbly)透亮影,為腸道(bowel loops)疝入胸腔後充氣所形成的特徵性表現,而非正常的肺葉充氣外觀。
- 縱膈腔向右偏移:心臟及縱膈腔結構明顯被推向右側,與題幹描述「最大心音在右側」相符——此為左側胸腔內疝入臟器造成的佔位效應(mass effect)所致。
- 右肺受壓:右側肺野空間相對縮小,肺組織受壓。
- 腹部相對空虛:下腹部腸道氣體影明顯減少,因腸道已疝入胸腔。
- 左側橫膈輪廓消失:無法辨識正常左側橫膈線,為橫膈缺損的間接證據。
上述表現組合——左胸充滿腸道氣泡影 + 縱膈右偏(右位心音)+ 腹部空虛——是**左側先天性橫膈膜疝氣(left-sided CDH,Bochdalek hernia)**的典型 X 光影像診斷依據。
選項分析
(A) 張力性氣胸(Tension pneumothorax) 張力性氣胸會導致患側肺完全塌陷,X 光見均一
...(解析預覽)...
![醫師[2] - 新生兒 - AI 圖文解析預覽](/_next/image?url=https%3A%2F%2Fbgvxfcrmbdvefjhuvrmt.supabase.co%2Fstorage%2Fv1%2Fobject%2Fpublic%2Fvisual-explanations%2F684%2F45498_t6h4y1y32.webp&w=3840&q=75)
升級 VIP 解鎖圖文解析