108年:醫學四(1)
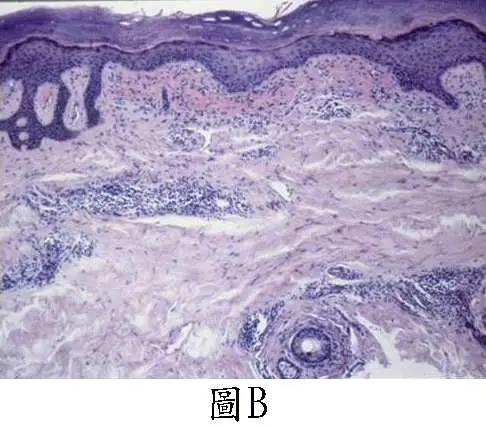
60 歲男性,近⼗年來在背上、四肢⻑出(如圖 A)的發癢⽪疹,⽪膚切片做 congo red staining (如圖 B),在偏光顯微鏡( polarizing microscope )下觀察(如圖 C)。最可能診斷為:

A點滴狀乾癬( guttate psoriasis )
B結節性癢疹( prurigo nodularis )
C扁平苔癬( lichen planus )
D類澱粉性苔癬( lichen amyloidsis )
詳細解析
本題觀念:
類澱粉性苔癬(lichen amyloidosis)是原發性局限性皮膚類澱粉沉積症(primary localized cutaneous amyloidosis, PLCA)最常見的亞型,以長期慢性搔癢、下肢(尤其脛前)為主的色素性角化丘疹為特徵,皮膚切片 Congo red 染色在偏光顯微鏡下呈現蘋果綠雙折射(apple-green birefringence)是確診的病理標準。
影像分析:
圖 A(臨床外觀):顯示下肢(小腿前側)皮膚,可見多顆散在分布的褐色過度角化性丘疹(hyperkeratotic papules),整體膚色偏深,部分丘疹融合,呈現苔癬化(lichenification)趨勢。病灶主要分布於脛前區,無明顯水泡或滲出,符合類澱粉性苔癬之典型外觀。
圖 B(Congo red 染色,一般光學顯微鏡):低倍鏡下可見表皮增厚(acanthosis)及角化過度(hyperkeratosis),真皮乳頭層(papillary dermis)內有球狀均質粉紅色無定形物質沉積,即類澱粉沉積(amyloid deposits),染色後呈橙紅色。真皮上層可見少量淋巴細胞浸潤。整體結構清楚展示乳頭層受類澱粉擴張的特徵性表現。
圖 C(Congo red 染色,偏光顯微鏡):偏光顯微鏡下,真皮乳頭層中的類澱粉沉積物呈現特徵
...(解析預覽)...
![醫師[2] - 角化異常 - AI 圖文解析預覽](/_next/image?url=https%3A%2F%2Fbgvxfcrmbdvefjhuvrmt.supabase.co%2Fstorage%2Fv1%2Fobject%2Fpublic%2Fvisual-explanations%2F684%2F45525_t5t3p3j5d.webp&w=3840&q=75)
升級 VIP 解鎖圖文解析