108年:醫學五(1)
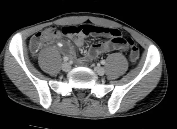
20 歲男性因急性腹痛、⾼燒求診,接受對比劑注射後之電腦斷層掃描檢查如圖,最可能之診斷為何? 
A急性闌尾炎
B⼤腸憩室炎
C尿路結⽯
D胰臟炎
詳細解析
本題觀念:
急性闌尾炎(acute appendicitis)是外科最常見的急腹症之一,需要緊急評估與手術治療。本題為電腦斷層(computed tomography, CT)影像題,考驗考生辨識急性闌尾炎在對比劑注射後 CT 上的典型表現,並與其他急腹症進行鑑別診斷。
影像分析:
本題圖片為骨盆腔軸切面(axial view)的腹部對比劑注射後 CT 影像,可見:
- 位置:右下腹(右髂窩區域)可見一管狀、擴張的盲管結構
- 管徑增大:闌尾直徑明顯 >6 mm(正常 <6 mm),呈現異常擴張
- 管壁增厚且強化:對比劑注射後管壁有明顯環狀強化(rim enhancement),符合發炎反應
- 周圍脂肪絞攣(periappendiceal fat stranding):闌尾周圍脂肪密度增加、呈條索狀混濁,代表局部炎症蔓延
- 管腔內液體:管腔內含液體,提示阻塞後積液
- 無明顯游離氣體:無穿孔後氣腹徵象
- 腸系膜淋巴結:周圍可見數個淋巴結,反應性腫大
影像判讀意義:右下腹擴張的盲管狀結構(直徑 >6 mm)合併管壁強化與周圍脂肪絞攣,是急性闌尾炎的典型 CT 三聯徵(triad),CT 診斷急性闌尾炎的敏感度達 95%、特異度 94%。
選項分析
(A) 急性闌尾炎
...(解析預覽)...
![醫師[2] - 下消化道與小腸外科 - AI 圖文解析預覽](/_next/image?url=https%3A%2F%2Fbgvxfcrmbdvefjhuvrmt.supabase.co%2Fstorage%2Fv1%2Fobject%2Fpublic%2Fvisual-explanations%2F685%2F45642_t5y6t2x57.webp&w=3840&q=75)
升級 VIP 解鎖圖文解析