108年:醫學六(1)
29 歲男性在⾞禍後發現右上肢無⼒與⿇痺,圖為頸椎的磁振造影影像( T2WI ),下列敘述何者錯誤? 
A臨床病史和影像符合臂神經叢傷害( brachial plexus injury )
B此病患最可能的診斷為假性脊髓膜膨出( pseudomeningocele )
C臂神經叢傷害的磁振造影表現可以是 stretching injury 、 root avulsion 等
DRoot avulsion 是指神經根與脊髓( spinal cord )的神經節後分離( post-ganglionic separation )
詳細解析
本題觀念:
本題為反向題(問「何者錯誤」),考核車禍後臂神經叢傷害(brachial plexus injury)的 MRI 影像特徵、診斷分類,以及神經根撕脫(root avulsion)的解剖定義。關鍵考點在於 root avulsion 屬於**神經節前(preganglionic)**傷害,而非題目選項 D 所述的神經節後(postganglionic)分離。
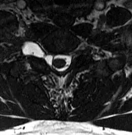
影像分析:
本題提供頸椎 T2 加權影像(T2WI)橫軸切面(axial view),可見以下影像特徵:
關鍵影像所見:
- 脊髓中央呈低訊號,兩側脊髓旁可見正常椎間孔及神經根走行
- 右側(影像左方)可見一圓形/卵圓形亮訊號(高訊號)液體囊腔,位於椎管旁、緊鄰硬脊膜外側
- 此高訊號囊性病灶的訊號特性與腦脊髓液(CSF)相同,呈均勻的 T2 高訊號
- 囊腔位置與右側神經根離開脊髓的位置相符
- 對側(左側)結構對稱正常,無類似病灶
影像診斷: 上述右側椎管旁的 CSF 訊號囊腔,在車禍後臂神經叢傷害的臨床情境下,高度符合**假性脊髓膜膨出(pseudomeningocele)**的典型 MRI 表現——因硬脊膜(dura mater)撕裂,CSF 漏出並積聚於椎旁,形成無真性膜壁(non-encapsulated)的液體囊腔。Pseudomen
...(解析預覽)...
![醫師[2] - 脊髓與周邊神經疾病復健 - AI 圖文解析預覽](/_next/image?url=https%3A%2F%2Fbgvxfcrmbdvefjhuvrmt.supabase.co%2Fstorage%2Fv1%2Fobject%2Fpublic%2Fvisual-explanations%2F686%2F45723_t484f1p3j.webp&w=3840&q=75)
升級 VIP 解鎖圖文解析