107年:醫學三(2)
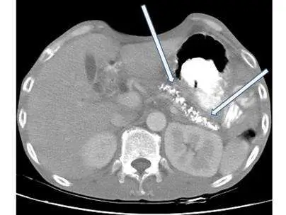
一名酗酒男性因上腹悶痛和食慾不佳來求診,電腦斷層檢查呈現如圖,箭號所指之異常最可能是下列那一項診斷? 
Abowel perforation
Bchronic pancreatitis
Ccommon bile duct stones
Dsplenic artery arteriosclerosis
詳細解析
本題觀念:
慢性胰臟炎(chronic pancreatitis)的電腦斷層影像特徵——胰臟鈣化(pancreatic calcifications)是酒精性慢性胰臟炎最具診斷意義的病理影像表現,被視為 pathognomonic 的影像發現。
影像分析:
本題 CT 影像為腹部橫截面,兩支箭號指向胃後方(pancreatic body/tail 區域)多發、散在分布的高密度白色鈣化灶(bright hyperdense foci)。具體所見如下:
- 鈣化位置:位於胃(黑色含氣腔)後方、腹腔中央,解剖位置對應胰臟本體至尾部
- 鈣化特徵:多發性、不規則點狀至粗顆粒狀高密度影,CT 值接近骨骼密度,為典型的胰臟內鈣化(intraductal / parenchymal calcifications)
- 周圍結構:肝臟(右側)、脾臟(左側)外觀尚可;無明顯游離氣體(排除腸穿孔);膽總管無明顯擴張;脾動脈無管壁鈣化形態
- 鑑別要點:這種散在分布於胰臟實質/導管的多發鈣化,與膽總管結石(單顆或少數、沿膽道走向)、腸穿孔(游離氣體)、或脾動脈動脈硬化(沿血管壁弧形鈣化)的影像特徵截然不同
選項分析
(A) bowel perforation(腸道穿孔) 腸穿孔在 CT 上的特徵為腹腔或腹膜後游離氣體(free
...(解析預覽)...
![醫師[2] - 膽道、胰臟及消化道其他 - AI 圖文解析預覽](/_next/image?url=https%3A%2F%2Fbgvxfcrmbdvefjhuvrmt.supabase.co%2Fstorage%2Fv1%2Fobject%2Fpublic%2Fvisual-explanations%2F687%2F45803_t2k4o4b0j.webp&w=3840&q=75)
升級 VIP 解鎖圖文解析