107年:醫學五(2)
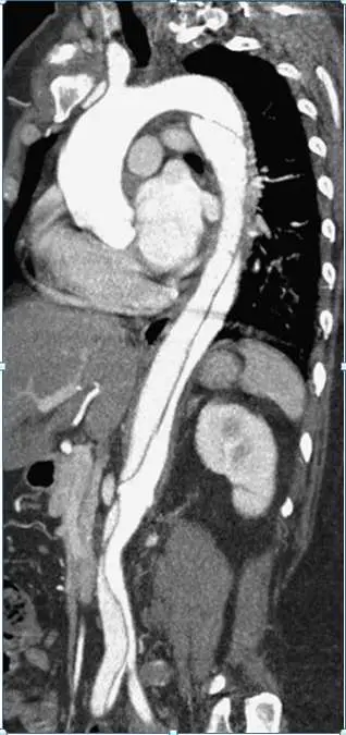
50 歲男性病患主訴,有高血壓病史,未接受規則性之治療, 3星期前有突發性撕裂性背痛至今仍舊無法緩解。電腦斷層顯示如下圖,下列診斷及治療何者錯誤? 
A其主動脈剝離由降主動脈至腹主動脈,但入口位於降主動脈近端處,診斷為史丹佛 B型主動脈剝離 (Stanford type B )
B需考慮手術治療
C症狀發生超過 14 天,屬於慢性主動脈剝離
D雖腔內血管修補術式( TEVAR )發展迅速,但手術仍以傳統開胸置換手術為主
詳細解析
本題觀念:
史丹佛 B 型主動脈剝離(Stanford type B aortic dissection)的分類、慢性化定義,以及現代治療趨勢——腔內血管修補術(thoracic endovascular aortic repair, TEVAR)已取代傳統開胸手術成為主流。本題為反向題,問「何者錯誤」。
影像分析:
圖片為對比增強電腦斷層(contrast-enhanced CT)矢狀面重建影像,清楚顯示:
- 主動脈內膜瓣(intimal flap):可見一條縱向線性低密度結構將主動脈管腔一分為二,形成真腔(true lumen)與假腔(false lumen)
- 剝離範圍:起自降主動脈近端(左鎖骨下動脈以遠),向下延伸至腹主動脈,符合 Stanford B 型(升主動脈未受累)
- 升主動脈:外觀正常,無內膜瓣,排除 Stanford A 型
- 假腔:較真腔寬大,對比劑充填較慢,此為慢性 / 亞急性剝離的典型表現
- 腎臟及腸系膜血管灌流尚存,未見明顯器官缺血跡象
此影像與臨床情境(高血壓病史、3 週前突發撕裂性背痛)完全吻合 Stanford type B 主動脈剝離。
選項分析
(A) 其主動脈剝離由降主動脈至腹主動脈,但入口位於降主動脈近端處,診斷為 Stanford t
...(解析預覽)...
![醫師[2] - 主動脈與周邊血管外科 - AI 圖文解析預覽](/_next/image?url=https%3A%2F%2Fbgvxfcrmbdvefjhuvrmt.supabase.co%2Fstorage%2Fv1%2Fobject%2Fpublic%2Fvisual-explanations%2F689%2F45908_t6j5s3459.webp&w=3840&q=75)
升級 VIP 解鎖圖文解析