107年:醫學五(2)
一糖尿病中年婦女,突然頭部劇痛、左眼瞼下垂、複視、瞳孔放大,來急診求治,神智清楚,腦部電腦斷層如附圖,下列處置何者最恰當? 
A住院,馬上安排腦部血管攝影
B抽血密切注意血糖的變化
C住院,檢驗是否有重症肌無力( myasthenia gravis )
D安排腦部核磁共振,再決定是否要住院
詳細解析
本題觀念:
突發「霹靂性頭痛(thunderclap headache)」合併同側第三腦神經麻痺(眼瞼下垂、複視、瞳孔放大),是顱內動脈瘤破裂(尤其後交通動脈瘤)的典型警示表現,屬神經外科急症,需立即進行腦血管造影以確認診斷及規劃介入治療。
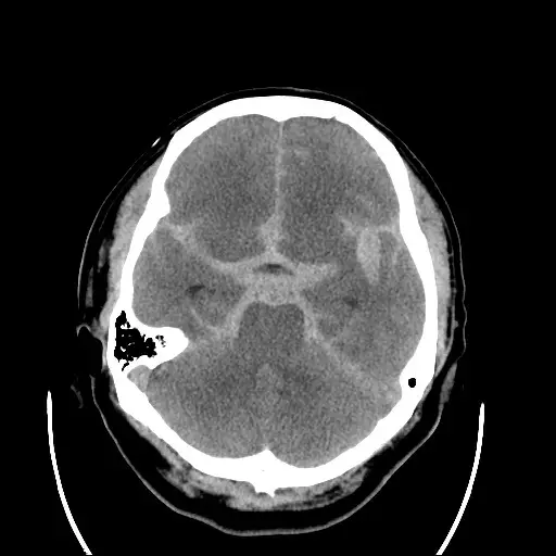
影像分析:
本題附圖為腦部非顯影電腦斷層(non-contrast CT of brain),軸切面(axial view)。影像重點所見:
- 高密度出血灶:左側顳葉內側/Sylvian 裂區域可見明顯高密度(白色)不規則出血,形狀不規則,提示腦內出血合併蜘蛛膜下腔出血(subarachnoid hemorrhage, SAH)的可能。
- 腦室系統:腦室形態大致正常,無明顯腦積水(hydrocephalus)。
- 中線結構:中線無明顯偏移。
- 對側腦實質:右側腦實質密度均勻,無異常出血或梗塞病灶。
臨床意義:CT 上 Sylvian 裂或基底池出現高密度血液,結合患者突發劇烈頭痛、動眼神經麻痺,高度懷疑後交通動脈瘤(posterior communicating artery aneurysm)破裂所致 SAH。非顯影 CT 對急性 SAH 敏感性在 6 小時內約 98%,但不能確定動脈瘤位置,因此確診及定位需接續腦血管造影。
選項分析
**(A) 住院,馬上安排
...(解析預覽)...
![醫師[2] - 腦部疾病外科 - AI 圖文解析預覽](/_next/image?url=https%3A%2F%2Fbgvxfcrmbdvefjhuvrmt.supabase.co%2Fstorage%2Fv1%2Fobject%2Fpublic%2Fvisual-explanations%2F689%2F45943_t6b302s32.webp&w=3840&q=75)
升級 VIP 解鎖圖文解析