107年:醫學五(2)
承上題【一糖尿病中年婦女,突然頭部劇痛、左眼瞼下垂、複視、瞳孔放大,來急診求治,神智清楚,腦部電腦斷層如附圖,下列處置何者最恰當? 】,下列何者是最可能的診斷? 
A重症肌無力
B糖尿病神經病變
C後交通動脈瘤破裂
D前交通動脈瘤破裂
詳細解析
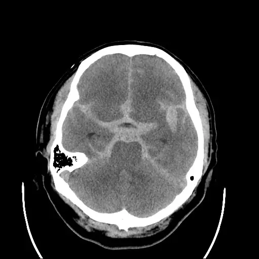
本題觀念:
本題為承上題(48774)的診斷延伸:糖尿病中年婦女,突發霹靂性頭痛、左眼瞼下垂、複視、瞳孔放大,腦部 CT 顯示顱內出血。需根據症狀組合和解剖學知識,判斷最可能的診斷。核心概念是「瞳孔受累型動眼神經麻痺(pupil-involved oculomotor nerve palsy)合併 SAH = 後交通動脈瘤(posterior communicating artery aneurysm)破裂,直到排除為止」。
影像分析:
本題附圖與上題相同,為同一患者的腦部非顯影電腦斷層(non-contrast CT of brain):
- 高密度出血灶:左側顳葉內側/Sylvian 裂區域有明顯高密度(白色)不規則出血,形狀不規整,提示急性血液積聚(SAH 或顱內血腫)。
- 出血位置意義:Sylvian 裂(外側裂)及顳葉底部的出血,與後交通動脈(PCoA)走行及動脈瘤好發位置相符。後交通動脈瘤位於頸內動脈末端與 PCoA 交界,破裂時血液易積聚於 Sylvian 裂、鞍上池(suprasellar cistern)、環池(ambient cistern)等部位。
- 腦室及中線:腦室形態正常,中線未見明顯偏移,暫無急性腦疝徵象。
影像與診斷的關聯:CT 所見高密度出血合併臨床表現(突發頭痛 + 動眼神經麻痺),支持後交
...(解析預覽)...
![醫師[2] - 腦部疾病外科 - AI 圖文解析預覽](/_next/image?url=https%3A%2F%2Fbgvxfcrmbdvefjhuvrmt.supabase.co%2Fstorage%2Fv1%2Fobject%2Fpublic%2Fvisual-explanations%2F689%2F45944_t4c0y7228.webp&w=3840&q=75)
升級 VIP 解鎖圖文解析