107年:醫學六(2)
28 歲女性主訴發燒和下腹疼痛,電腦斷層檢查呈現如圖,箭號所指之敘述何者最正確? 
A子宮內膜炎
B輸卵管卵巢膿瘍
C子宮(輸卵管)外孕
D子宮頸癌
詳細解析
本題觀念:
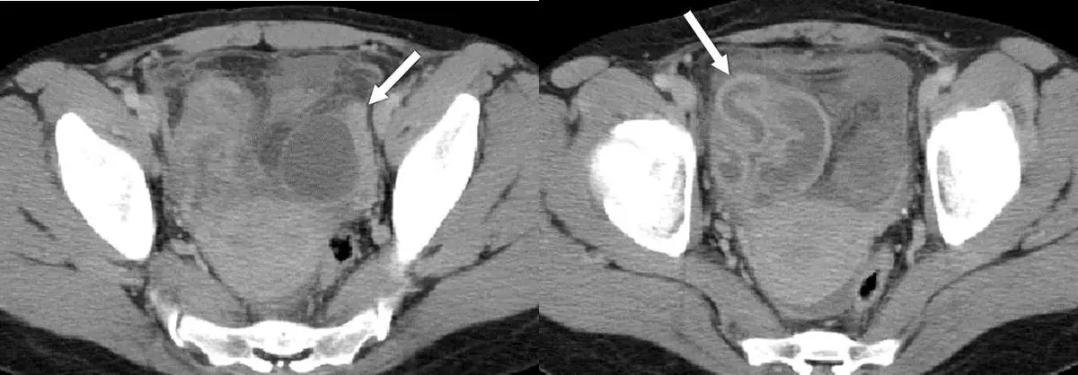
輸卵管卵巢膿瘍(tubo-ovarian abscess, TOA)是骨盆腔炎(pelvic inflammatory disease, PID)的嚴重併發症,電腦斷層(CT)上呈現特徵性的附件區厚壁多房囊性腫塊伴周圍脂肪浸潤(fat stranding)與環形增強(rim enhancement),需與子宮內膜炎、子宮外孕及子宮頸癌鑑別。本題 28 歲女性有發燒與下腹疼痛,是典型 TOA 的臨床場景。
影像分析:
本題為骨盆腔電腦斷層(pelvic CT)橫切面,圖示並排的兩個連續切面,均有白色箭頭標示病灶。
右側(左圖,較低層面): 箭頭指向位於子宮右後方附件區的一個大型複雜性囊性腫塊,腫塊邊界欠清晰,囊壁明顯增厚且不規則,內部可見多房分隔(multilocular),囊液密度不均,周圍骨盆脂肪出現模糊浸潤(fat stranding),代表急性發炎反應向鄰近組織蔓延。子宮體(高密度圓形結構)位於中線偏左,與右側腫塊之間尚有間隙。
左側(右圖,較高層面): 箭頭指向相同病灶的上極切面,可見腫塊的另一個囊性腔室,形態迂曲,部分呈管狀延伸,符合擴張的輸卵管(pyosalpinx/hydrosalpinx)腔室形態,整體形成典型的「腸樣(sausage-like)」或「管-卵巢複合體」外觀。兩側膀胱(高密度充盈)及腸管
...(解析預覽)...
![醫師[2] - 婦科感染症 - AI 圖文解析預覽](/_next/image?url=https%3A%2F%2Fbgvxfcrmbdvefjhuvrmt.supabase.co%2Fstorage%2Fv1%2Fobject%2Fpublic%2Fvisual-explanations%2F690%2F46043_t1o4x004o.webp&w=3840&q=75)
升級 VIP 解鎖圖文解析