107年:醫學五(1)
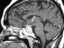
40 歲男性病患發現有兩側顳葉偏盲( bitemporal hemianopsia )症狀,泌乳激素值為 49 ng/mL (prolactin level of 49 ng/mL ),磁振造影檢查( MRI )如下列圖示,對此病灶最佳治療選擇為何? 
Abromocriptine 藥物治療
B先投與 bromocriptine 藥物治療, 隨後手術治療
C放射治療( radiation therapy )
D手術治療
詳細解析
本題觀念:
本題考核腦垂腺大腺瘤(pituitary macroadenoma)合併視交叉壓迫的治療決策。關鍵整合:泌乳激素(prolactin)數值的判讀、視野缺損的臨床意義,以及手術 vs. 藥物治療的適應症選擇。
影像分析:
本題 MRI 為矢狀切面 T1 加權影像,可見下列典型特徵:
- 腫瘤位置與大小:蝶鞍區(sellar region)可見一等訊號至略低訊號腫塊,伴有明顯向鞍上延伸(suprasellar extension),腫瘤直徑超過 1 cm,符合大腺瘤(macroadenoma)定義(直徑 ≥ 10 mm)。
- 視交叉壓迫(optic chiasm compression):腫瘤向上推擠,符合臨床呈現的兩側顳側偏盲(bitemporal hemianopsia)——視交叉中央交叉纖維受壓,導致兩眼顳側視野缺損。
- 腦結構影響:腫瘤佔據鞍上空間,正常垂體結構難以辨識,未見腦室擴大,無腦積水表現。
- 臨床意義:腫瘤大小加上視交叉壓迫,代表病灶具有顯著佔位效應(mass effect),視覺系統已受到器質性損害。
選項分析
(A) bromocriptine 藥物治療 對於泌乳激素腺瘤(prolactinoma),多巴胺受體促效劑(dopamine agonist)如 bromocr
...(解析預覽)...
![醫師[2] - 腦部疾病外科 - AI 圖文解析預覽](/_next/image?url=https%3A%2F%2Fbgvxfcrmbdvefjhuvrmt.supabase.co%2Fstorage%2Fv1%2Fobject%2Fpublic%2Fvisual-explanations%2F693%2F46223_t384v0h37.webp&w=3840&q=75)
升級 VIP 解鎖圖文解析