107年:醫學五(1)
一位 45 歲健康成年男性,行走時遭汽車撞擊,左膝腫痛變形,送至急診後左膝 X光檢查結果如下圖。關於此種骨折之敘述,下列何者錯誤? 
A若骨折型態較複雜,術前計畫時應作進一步的影像檢查。目前公認磁振造影( MRI )檢查比電腦斷層掃描 (CT )檢查更能精準研判骨折型態
B可能合併副韌帶( collateral ligaments )、半月板( menisci)或十字韌帶( cruciate ligaments )的傷害
C可能造成急性肌腔室症候群( acute compartment syndrome ),需密切觀察肌腔室壓力( compartment pressure )及周邊循環情形是否良好
D創傷後關節炎( post-traumatic arthritis )是手術後的晚期併發症( late complications )之一,可能導因於手 術後關節面不平整( joint incongruity )
詳細解析
本題觀念:
本題考核脛骨平台骨折(tibial plateau fracture)的影像學評估與術前計畫。重點在於 CT 與 MRI 的適應症比較:CT 是術前評估骨折型態的金標準,而非 MRI。
影像分析:
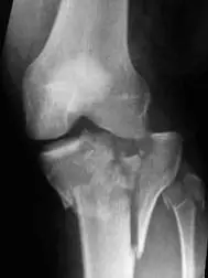
本題 X 光片為左膝關節正位影像(AP view),可見以下特徵:
- 骨折位置:脛骨近端(proximal tibia)雙髁(bicondylar)受累,呈現明顯碎裂(comminution),骨折線延伸至內外兩側脛骨平台(medial and lateral tibial plateau)
- 骨折型態:呈現 Schatzker V 型(雙髁分裂)或 VI 型(骺幹分離)外觀,骨折碎片移位明顯
- 關節面:脛骨平台關節面嚴重塌陷(articular surface depression)及不平整(incongruity),多個骨折碎片可見
- 軟組織陰影:膝關節腫脹,膝關節腔因積血(hemarthrosis)而呈密度增加
- 臨床意義:此為高能量外傷所致複雜型骨折,術前計畫需進一步影像評估以明確骨折三維形態
選項分析
(A) ✅(錯誤陳述)「術前計畫應作進一步影像檢查,目前公認 MRI 比 CT 更能精準研判骨折型態」 → 此敘述錯誤。CT(尤其是 3D 重建)才是評估脛骨平台骨折骨折型態
...(解析預覽)...
![醫師[2] - 下肢與軸性骨折 - AI 圖文解析預覽](/_next/image?url=https%3A%2F%2Fbgvxfcrmbdvefjhuvrmt.supabase.co%2Fstorage%2Fv1%2Fobject%2Fpublic%2Fvisual-explanations%2F693%2F46265_t0y603p5f.webp&w=3840&q=75)
升級 VIP 解鎖圖文解析