107年:醫學五(1)
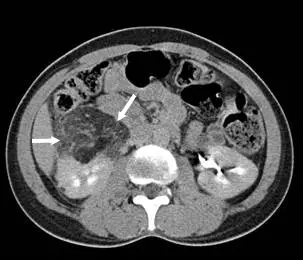
病人主訴右側腰部悶痛,血液中白血球數目正常,超音波檢查發現右側腎臟腫塊,電腦斷層檢查如附圖,下列何種診斷最正確? 
Arenal cell carcinoma
Burothelial cell carcinoma
Crenal angiomyolipoma
Dxanthogranulomatous pyelonephritis
詳細解析
本題觀念:
本題考核腎臟腫塊的電腦斷層(CT)影像鑑別診斷,重點在於辨識腎臟血管平滑肌脂肪瘤(renal angiomyolipoma, AML)的病理特徵性 CT 表現——腫瘤內巨觀脂肪成分(macroscopic fat),HU 值 < −10,幾乎為 AML 的確診依據。
影像分析:
本題 CT 為腹部橫切面(axial view),可見以下特徵:
- 病灶位置:右側腎臟(影像右側)見一較大的不均質腫塊,兩支白色箭頭(white arrows)分別指向腫塊的不同區域
- 密度特徵:腫塊內含有明顯的低密度(hypodense)區域,密度遠低於正常腎實質,在 CT 視窗設定下呈現接近脂肪的黑色區域,提示 Hounsfield 單位(HU) < −10,符合巨觀脂肪(macroscopic fat)
- 腫塊大小:腫塊體積較大,占據右腎大部分,造成腎臟輪廓明顯突出變形
- 增強特徵:腫塊顯示不均質增強(heterogeneous enhancement),部分區域有強化
- 對側腎臟:左側腎臟(影像左側)外觀相對正常
- 鑑別重點:腫塊內含有脂肪密度(fat attenuation)是診斷 AML 的關鍵,此發現在 renal cell carcinoma(RCC)中極為罕見(除非是脂肪瘤樣 RCC),在 xanth
...(解析預覽)...
![醫師[2] - 泌尿腫瘤 - AI 圖文解析預覽](/_next/image?url=https%3A%2F%2Fbgvxfcrmbdvefjhuvrmt.supabase.co%2Fstorage%2Fv1%2Fobject%2Fpublic%2Fvisual-explanations%2F693%2F46281_t5h0r5k3z.webp&w=3840&q=75)
升級 VIP 解鎖圖文解析