107年:醫學六(1)
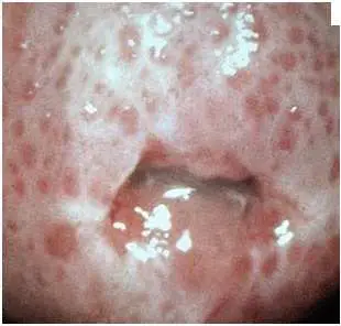
40 歲女性,主訴陰道有量多惡臭的膿狀分泌物,檢查時發現陰道充血,子宮頸呈現如圖所示,下列敘述何者錯誤? 
A最可能是披衣菌感染
B陰道 pH 值通常大於 5
C常伴隨陰部搔癢
DWhiff test 可能成陽性
詳細解析
本題觀念:
本題考點為陰道炎/子宮頸炎的鑑別診斷,特別是能辨識「草莓狀子宮頸(strawberry cervix)」此一特徵性影像,並正確對應至滴蟲性陰道炎(trichomoniasis)的臨床表現。
影像分析:
圖中顯示子宮頸外觀充血發紅,表面散布多處細小點狀出血斑(punctate hemorrhagic spots),整體外觀如草莓表面,此即經典的「草莓狀子宮頸(strawberry cervix)」,又稱「黃斑性子宮頸陰道炎(colpitis macularis)」。此外觀對滴蟲性陰道炎具有極高特異性(specificity 約 99%),陽性預測值達 90%,是診斷 Trichomonas vaginalis 感染最具代表性的身體檢查發現。值得注意的是,此徵象在肉眼檢查下僅約 1–2% 的病例可見;使用陰道鏡輔助時,colpitis macularis 的偵測率可提高至 45%。
選項分析
本題為反向題(問「何者錯誤」):
(A) 最可能是披衣菌感染 ❌(此為錯誤陳述 → 即本題答案) 圖示為草莓狀子宮頸,此為 Trichomonas vaginalis 的特徵性表現,而非披衣菌(Chlamydia trachomatis)感染。Chlamydia 感染可引起黏膿性子宮頸炎(mucopurulent cervicitis),表現為子宮
...(解析預覽)...
![醫師[2] - 婦科感染症 - AI 圖文解析預覽](/_next/image?url=https%3A%2F%2Fbgvxfcrmbdvefjhuvrmt.supabase.co%2Fstorage%2Fv1%2Fobject%2Fpublic%2Fvisual-explanations%2F694%2F46330_t203z4b53.webp&w=3840&q=75)
升級 VIP 解鎖圖文解析