107年:醫學六(1)
承上題【王小姐,30 歲,最近發現聲音變粗,陰蒂變大,且愈來愈嚴重。下列疾病何者最不可能?】,電腦斷層顯示如下圖,抽血檢驗睪固酮( testosterone )為250 ng/dL ,DHEAS 為800 µg/dL ,則診斷最有可能為:

A分泌男性素的卵巢腫瘤
B多囊性卵巢腫瘤
C腎上腺腫瘤
D庫欣氏症( Cushing syndrome )
詳細解析
本題觀念:
本題為反向題(問「最不可能」)的延伸題,接續上題情境:30歲女性出現聲音變粗、陰蒂增大等男性化(virilization)表現,電腦斷層(CT)顯示腎上腺區域病灶,血液檢驗 Testosterone 為 250 ng/dL、DHEAS(dehydroepiandrosterone sulfate,脫氫異雄固酮硫酸鹽)為 800 µg/dL。本題要求根據影像與賀爾蒙數值判斷最可能的診斷。
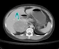
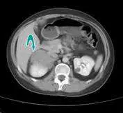
影像分析:
電腦斷層兩張橫切面影像均可見腎上腺區域(右側腎上腺附近)有以青色箭頭標示的軟組織密度腫塊,與正常腎上腺形態不符,提示為腎上腺佔位性病灶(adrenal mass)。
- 第一張影像:顯示上腹部橫切面,可見右腎上腺區域有界限清楚之腫塊,周圍結構受壓但無明顯鄰近器官侵犯表現。
- 第二張影像:另一層面顯示同一腫塊延伸範圍,腫塊為均勻密度,邊界尚清,影像特徵符合腎上腺功能性腺瘤(adrenal functional adenoma)或腎上腺皮質癌(adrenal cortical carcinoma)。
影像加上賀爾蒙數值(DHEAS 顯著升高至 800 µg/dL),共同指向腎上腺來源之高雄激素血症。
選項分析
本題為「最有可能」的正向選題(已確定答案為C,即腎上腺腫瘤):
**(A) 分泌男性素的卵巢腫瘤(Androgen-se
...(解析預覽)...
![醫師[2] - 月經異常與生殖內分泌疾病 - AI 圖文解析預覽](/_next/image?url=https%3A%2F%2Fbgvxfcrmbdvefjhuvrmt.supabase.co%2Fstorage%2Fv1%2Fobject%2Fpublic%2Fvisual-explanations%2F694%2F46343_t1f4h291t.webp&w=3840&q=75)
升級 VIP 解鎖圖文解析