107年:醫學六(1)
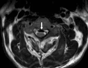
71 歲男性不慎跌倒之後,頸部異常疼痛,合併有上肢酸麻感覺;磁振掃描橫向 T2 加權影像如附圖。其最可能的診斷為何? 
A後縱行韌帶骨化
B肌肉筋膜疼痛
C後骨刺生成
D椎間盤突出
詳細解析
本題觀念:
本題考查頸椎後縱韌帶骨化症(ossification of the posterior longitudinal ligament, OPLL)的 MRI 影像特徵與臨床表現。71歲男性跌倒後頸部疼痛合併上肢酸麻,MRI T2 加權橫切面影像顯示特定影像所見,需判斷最可能的診斷。
影像分析:
本題提供頸椎 MRI 橫向(軸位)T2 加權影像,白色箭頭指向椎管前方一個明顯的低信號(hypointense)帶狀或塊狀結構,緊貼脊椎椎體後緣,位於硬脊膜(dural sac)前方。
關鍵影像特徵分析:
- 低信號區域:在 T2 加權影像上呈現低信號強度,此特徵提示骨化(ossification)或礦化組織,因骨皮質(cortical bone)和緻密礦化組織在 T2 影像上均呈現低信號
- 位置:緊貼椎體後緣,沿後縱韌帶走行區域,符合後縱韌帶骨化(OPLL)的典型解剖位置
- 椎管狹窄:低信號區域佔據部分椎管空間,壓迫硬脊膜囊,造成有效椎管管徑縮小
- 脊髓壓迫:白色箭頭所指的低信號結構由前方壓迫脊髓(spinal cord),脊髓可能出現形態改變
此影像表現最符合 後縱韌帶骨化症(OPLL):韌帶組織被異常骨化,在 T2 影像形成典型的低信號帶,位於椎體後方/椎管前壁,造成椎管狹窄及脊髓壓迫
...(解析預覽)...
![醫師[2] - 軟組織損傷與神經壓迫復健 - AI 圖文解析預覽](/_next/image?url=https%3A%2F%2Fbgvxfcrmbdvefjhuvrmt.supabase.co%2Fstorage%2Fv1%2Fobject%2Fpublic%2Fvisual-explanations%2F694%2F46361_t37312v1p.webp&w=3840&q=75)
升級 VIP 解鎖圖文解析