106年:醫學二(2)
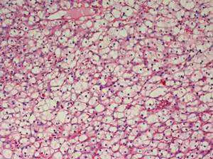
60 歲男性,最近出現腰痛及血尿,電腦斷層發現左腎有一個 4公分大小的腫瘤,腫瘤的手術標本切面呈黃色且有壞死區域,顯微變化如圖示。此種腫瘤最不可能發生下列何者基因異常? 
A第三對染色體短臂有缺失( 3p-)
B第三對染色體發生不平衡易位
CVHL 基因發生體細胞突變( somatic mutation )
DVHL 基因發生低甲基化( hypomethylation )
詳細解析
本題觀念:
透明細胞腎細胞癌(clear cell renal cell carcinoma, ccRCC)是最常見的腎臟惡性腫瘤,其腫瘤發生機制與第三對染色體短臂(3p)缺失及 VHL(Von Hippel-Lindau)抑癌基因的失活密切相關。本題考察 ccRCC 的分子遺傳學異常,並以反向題(最「不可能」發生者)呈現,需分辨各選項是否為已知致病機制。
影像分析:
本題圖片為 H&E 染色的腎臟腫瘤組織切片。鏡下可見:
- 細胞形態:腫瘤細胞排列緊密,呈片狀或巢狀分佈,細胞體積大,胞質透明(clear cytoplasm),細胞邊界清楚
- 胞質特徵:透明胞質是因細胞內累積大量脂質(中性脂肪、膽固醇酯)及肝醣(glycogen),在 H&E 製程中被有機溶劑溶解後留下空泡外觀
- 間質:腫瘤細胞巢之間可見纖細的竇狀血管網(sinusoidal vascular network),高度血管化為 ccRCC 的典型特徵
- 整體印象:此圖完全符合透明細胞腎細胞癌的典型病理形態,配合大體標本描述(切面黃色、有壞死區域)更加確認此診斷
選項分析
本題為反向題,問「最不可能發生」的基因異常。以下逐一分析各選項是否為 ccRCC 已知的致病機制:
(A) 第三對染色體短臂有缺失(3p-) ✅ 此為已知且最常見的異常 染
...(解析預覽)...
![醫師[1] - 腎臟泌尿與內分泌病理 - AI 圖文解析預覽](/_next/image?url=https%3A%2F%2Fbgvxfcrmbdvefjhuvrmt.supabase.co%2Fstorage%2Fv1%2Fobject%2Fpublic%2Fvisual-explanations%2F696%2F46561_t51094t0m.webp&w=3840&q=75)
升級 VIP 解鎖圖文解析