106年:醫學二(1)
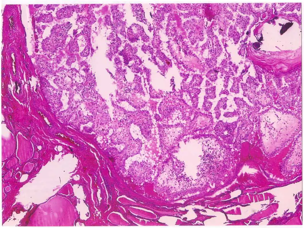
圖示為50 歲女性甲狀腺腫瘤之病理切片。下列敘述何者最不符合此腫瘤的臨床或病理特徵? 
A細胞核常有溝狀特徵( nuclear grooving )
B發生在 40 歲之前者預後極好
C常有 PAX-PPAR γ 1染色體轉位( translocation )
D腫瘤細胞呈高柱狀者較具侵犯性
詳細解析
本題觀念:
本題考核乳突性甲狀腺癌(papillary thyroid carcinoma, PTC)的臨床與病理特徵,以及各種甲狀腺腫瘤相關的染色體異常。需辨別 PAX8-PPARγ 轉位主要見於哪種甲狀腺癌,而非乳突性甲狀腺癌。
影像分析:
本切片為 H&E 染色的甲狀腺腫瘤病理切片,低倍鏡下可見腫瘤組織呈乳突狀(papillary)構造,乳突狀突起由纖維血管核心(fibrovascular core)構成,表面覆蓋單層至複層腫瘤細胞。腫瘤細胞排列緊密,細胞核特徵符合乳突性甲狀腺癌的典型表現。切片中可見乳突狀葉片(papillary fronds)廣泛分布,同時可見部分膠質(colloid)存在。整體病理型態最符合乳突性甲狀腺癌(PTC)的組織學診斷。高倍鏡下可預期見到典型的細胞核特徵,包括:核溝(nuclear grooving)、核假性包涵體(nuclear pseudoinclusion)、及「Orphan Annie eye」核(核染色質清澈,如毛玻璃樣)。
選項分析
(A) 細胞核常有溝狀特徵(nuclear grooving) ✅ 正確陳述(非答案)
核溝(nuclear grooving)是乳突性甲狀腺癌最具診斷意義的核特徵之一。核溝係因核膜折疊所形成,在細胞學(FNA)及組織切片中均可見。此特徵與 Orphan A
...(解析預覽)...
![醫師[1] - 腎臟泌尿與內分泌病理 - AI 圖文解析預覽](/_next/image?url=https%3A%2F%2Fbgvxfcrmbdvefjhuvrmt.supabase.co%2Fstorage%2Fv1%2Fobject%2Fpublic%2Fvisual-explanations%2F698%2F46761_t6r2x011b.webp&w=3840&q=75)
升級 VIP 解鎖圖文解析