109年:(醫檢)血液(2)
下列何種疾病最可能會出現如下圖所示之嗜中性白血球的形態? 
ANeutrophil leukocytosis
Bα-thalassemia
CMay-Hegglin anomaly
DMegaloblastic anemia
詳細解析
本題觀念:
本題考核末梢血液抹片中嗜中性白血球(neutrophil)形態異常的辨識,特別是過度分葉(hypersegmentation)現象,以及其所對應的臨床疾病診斷。
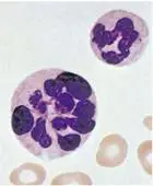
影像分析:
圖中呈現血液抹片的顯微鏡視野,可見兩個主要細胞:
-
左側大型細胞(主角):體積明顯大於正常細胞,細胞核呈深紫色、多葉狀,各核葉之間以細染色質絲相連,核葉數量超過 5 葉(可見 6 葉以上),為典型的過度分葉中性球(hypersegmented neutrophil)。細胞體積龐大,提示核質發育不同步(nuclear-cytoplasmic asynchrony),符合巨型中性球前驅細胞(giant metamyelocyte)衍生而來的形態。
-
右側小型細胞:體積較小,呈現一般中性球的正常多葉核形態,可作為對照。
背景可見粉紅色紅血球,整體紅血球無明顯大小不均,惟在巨幼紅血球性貧血(megaloblastic anemia)的完整血液抹片中,亦可見巨大橢圓形紅血球(macro-ovalocytes)及紅血球大小不均(anisocytosis)。
圖示的過度分葉中性球(≥5 葉,或出現 6 葉以上的中性球)是巨幼紅血球性貧血(megaloblastic anemia)最具診斷特異性的末梢血液形態發現。
選項分析
**(A) Neutro
...(解析預覽)...

升級 VIP 解鎖圖文解析