109年:(醫檢)血液(2)
箭頭所指的細胞內棒狀物最可能是下列何者? 
ADöhle body
BBarr body
CAuer rod
DPappenheimer body
詳細解析
本題觀念:
本題考查白血球(或血球)形態學中,細胞內棒狀包涵體(rod-shaped intracellular inclusion)的鑑別診斷。需依據棒狀物的所在細胞種類、形態特徵及臨床背景,正確辨識為 Auer rod。
影像分析:
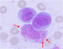
圖片為周邊血液抹片(peripheral blood smear),Wright-Giemsa 染色,可見:
- 畫面中央有數個大型不成熟骨髓芽細胞(myeloid blast cells),細胞核大、染色質疏鬆、可見核仁
- 紅色箭頭指向細胞質內的細長棒狀、紫紅色至深紅色構造
- 這些棒狀物形態細長如針,位於芽細胞胞質內,並非在核內
- 背景可見正常紅血球(正常形態)和少量白血球
- 整體影像高度符合**急性骨髓性白血病(acute myeloid leukemia, AML)**的周邊血抹片表現
圖中箭頭所指之棒狀物即為 Auer rod(奧氏桿)的典型外觀。
選項分析
(A) Döhle body Döhle bodies 是中性球(neutrophil)胞質內的灰藍色、卵圓形至不規則形包涵體,由核糖體與內質網(rER)組成,常見於嚴重感染、燒傷、化療後等「毒性變化(toxic change)」狀態。形態為淡灰藍色塊狀,非棒狀,且位於中性球(成熟白血球)而非芽細胞。→ **
...(解析預覽)...

升級 VIP 解鎖圖文解析