109年:(醫檢)血液(2)
承上題【箭頭所指的細胞內棒狀物最可能是下列何者?】,此病人最可能罹患下列何種疾病? 
AAcute myeloid leukemia
BMultiple myeloma
CAcute lymphoblastic leukemia
DAplastic anemia
詳細解析
本題觀念:
本題為「承上題」系列,上題已確認血液抹片中細胞內棒狀物為 Auer rods(奧爾棒)。本題考查:當周邊血液/骨髓抹片發現 Auer rods 時,最可能診斷為何種疾病?Auer rods 是**急性骨髓性白血病(acute myeloid leukemia, AML)**幾乎具病理診斷意義的特徵性構造。
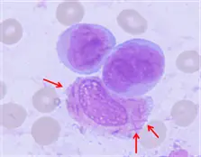
影像分析:
圖片為 Wright-Giemsa 染色周邊血液抹片,視野中央可見 3–4 個大型母細胞(blast cells),形態特徵如下:
- 細胞體積:明顯大於背景紅血球,細胞質豐富
- 細胞核:大型、染色質細緻疏鬆、核仁(nucleoli)明顯可見
- 紅色箭頭所指:細胞質內清晰可見 粉紅色/紫色針狀或棒狀包涵體,即 Auer rods
- 背景:可見正常紅血球(雙凹圓餅形)作對比
Auer rods 由融合的溶酶體(fused lysosomes)組成,富含溶酶體酵素(含骨髓過氧化酶 myeloperoxidase, MPO),Wright 染色下呈現特徵性的粉紅至紫紅色棒狀或針狀外觀,對骨髓系惡性腫瘤具高度特異性。
選項分析
(A) Acute myeloid leukemia(急性骨髓性白血病,AML) ✅ Auer rods 是骨髓系母細胞的**幾乎病理性特
...(解析預覽)...

升級 VIP 解鎖圖文解析