109年:(醫檢)病生理(1)
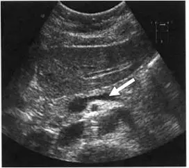
腹部超音波檢查圖像中,箭頭所指之血管為: 
A下腔靜脈( inferior vena cava, IVC)
B主動脈( aorta)
C上腸系膜動脈( superior mesenteric artery, SMA)
D脾靜脈( splenic vein, SV)
詳細解析
本題觀念:
本題考腹部超音波(abdominal ultrasound)的解剖辨識,重點在於根據影像位置、形態與解剖關係,正確辨別腹腔內的血管結構,特別是**脾靜脈(splenic vein, SV)**在橫切面(transverse section)超音波下的特徵。
影像分析:
圖示為上腹部橫切面(transverse plane)灰階超音波影像,可見多個無回音(anechoic)管狀與圓形結構,為血管之橫斷面或縱斷面。圖中白色箭頭指向一個呈細長橢圓形、管壁薄、無回音的管狀結構,位於影像中央偏左的位置,走向偏水平(橫向),明顯不同於正中線的大型圓形血管(主動脈或下腔靜脈)。
解剖判讀:
- 影像中央可見數個圓形或橢圓形無回音結構,由右至左依序可能包含:下腔靜脈(inferior vena cava, IVC,通常較橢圓且可壓縮)、主動脈(aorta,正中偏左、脈動、壁較厚)、上腸系膜動脈(superior mesenteric artery, SMA,圓形,有亮白色脂肪環繞)
- 箭頭所指結構:走向橫向、偏左側,位於胰臟後方(dorsal to pancreas),符合**脾靜脈(splenic vein)**的典型超音波位置——脾靜脈自脾門(splenic hilum)起始,沿胰體尾部後方由左向右橫行,在胰頭後方與腸系膜上靜脈(sup
...(解析預覽)...

升級 VIP 解鎖圖文解析