109年:(醫檢)病生理(1)
下列腹部超音波影像診斷最可能為: 
A膽囊息肉( gallbladder polyp )
B急性膽囊炎( acute cholecystitis)
C膽囊肌腺瘤( adenomyomatosis of gallbladder)
D膽囊結石( gallbladder stone)
詳細解析
本題觀念:
膽囊息肉(gallbladder polyp)的腹部超音波診斷特徵,以及與膽囊結石、急性膽囊炎、膽囊肌腺瘤(adenomyomatosis)的鑑別診斷。
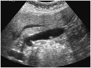
影像分析:
超音波影像顯示膽囊腔內可見一枚小型、高回音性(hyperechoic)結節狀病灶,附著於膽囊壁並突入管腔。關鍵影像特徵如下:
- 無後方聲影(no posterior acoustic shadowing):這是與膽囊結石最重要的鑑別點;結石會產生明顯的後方聲影,而息肉不會
- 固著於膽囊壁(non-mobile, wall-attached):病灶不隨體位改變而移動,排除可自由滾動的結石
- 膽囊壁無明顯增厚:不符合急性膽囊炎的超音波表現(後者通常有壁厚 > 3 mm、膽囊周圍積液、超音波墨菲氏徵 Murphy's sign)
- 無 Rokitansky–Aschoff sinuses(RAS) 所產生的彗星尾偽影(comet-tail artifact):排除膽囊肌腺瘤
整體影像表現最符合膽囊息肉,尤以膽固醇息肉(cholesterol polyp)最為常見。
選項分析
(A) 膽囊息肉(gallbladder polyp) ✅ 正確答案
- 超音波典型表現:高回音性固著結節、突入腔內、無後方聲影、不隨體位移
...(解析預覽)...

升級 VIP 解鎖圖文解析