109年:放射診斷(2)
下圖腦部電腦斷層攝影影像中,箭號所指的假影最主要是下列何種因素造成的? 
A射束硬化假影
B病人移動假影
C偵檢器故障引起的假影
D環狀假影
詳細解析
本題觀念:
本題考查腦部電腦斷層攝影(computed tomography, CT)中常見假影(artifact)的類型辨識,核心概念為**射束硬化假影(beam hardening artifact)**的成因與影像特徵。醫事放射師必須能從影像表現辨別不同假影類型,並理解其物理機制。
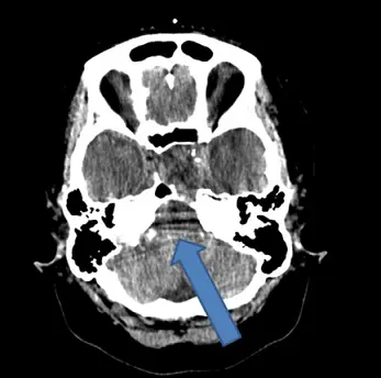
影像分析:
影像為腦部軸位(axial)CT 平掃,截面位於後顱窩(posterior fossa)層面,可見小腦(cerebellum)、岩骨(petrous bone)等結構。藍色箭號所指處為一條跨越後顱窩、呈現深色條紋狀(dark streak/band)的假影,走向大致橫跨兩側岩骨之間的腦實質。該假影輪廓較模糊、非完整環形,位於高密度骨骼結構之間——這是射束硬化假影最典型的空間分布特徵:出現在兩個高衰減(high-attenuation)結構(此例為兩側岩骨)之間的路徑上。
影像中未見模糊的移動邊界(可排除移動假影),未見以旋轉中心為圓心的環形亮暗帶(可排除環狀假影),亦未見偵檢器失靈常見的單一環狀條紋(可排除偵檢器故障假影)。
選項分析
(A) 射束硬化假影(beam hardening artifact) CT 使用的 X 光為多色光束(polychromatic beam),含有高能量與低能量光子。當光束穿過顱骨(尤其是緻
...(解析預覽)...

升級 VIP 解鎖圖文解析