109年:放射診斷(2)
附圖所示為下列何種 MR 影像? 
Aapparent diffusion coefficient
Bdiffusion weighted imaging
Csusceptibility weighted imaging
Dgradient echo sequence
詳細解析
本題觀念:
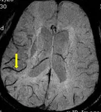
本題考查腦部磁振造影(magnetic resonance imaging, MRI)不同序列(sequence)與影像圖的辨識,核心概念為**磁化率加權影像(susceptibility weighted imaging, SWI)**的技術原理與特徵性影像表現。醫事放射師需能由影像外觀辨別 SWI、擴散加權影像(diffusion weighted imaging, DWI)、表觀擴散係數圖(apparent diffusion coefficient map, ADC map)及梯度回波序列(gradient echo sequence, GRE)之異同。
影像分析:
影像為腦部軸位 MRI,顯示大腦皮質及皮質下白質。最顯著的特徵是皮質靜脈(cortical veins)呈現極低訊號(markedly hypointense,即明顯黑色),於灰色腦實質背景中形成強烈對比,清晰勾勒出腦表面迂曲走行的皮質靜脈網路。黃色箭號所指為一條走行清晰、訊號極低的皮質靜脈。
此影像特徵——靜脈呈黑色、腦實質呈灰色、靜脈與腦組織間對比極佳——是 SWI 最具代表性的外觀:去氧血紅素(deoxyhemoglobin)為順磁性物質,造成局部磁場不均勻,使靜脈血中的訊號快速衰減(T2* 效應),導致靜脈在 SWI 上呈現深色(blooming effe
...(解析預覽)...

升級 VIP 解鎖圖文解析