109年:放射診斷(2)
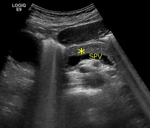
附圖為腹部超音波, SPV 是脾靜脈,星號為下列何者構造? 
A脾臟
B腎臟
C肝臟
D胰臟
詳細解析
本題觀念:
本題考查腹部超音波(abdominal ultrasound)的解剖辨識能力,重點為脾靜脈(splenic vein, SPV)與胰臟(pancreas)的位置關係。在腹部超音波掃描中,脾靜脈是辨識胰臟體部(pancreatic body)和尾部(pancreatic tail)最重要的解剖標誌(landmark)。
影像分析:
本題附圖為腹部超音波影像(機型:LOGIQ E9),橫斷面(transverse)掃描視野。影像右側標示 SPV(脾靜脈),呈管狀低回聲(anechoic)結構,為重要的解剖標誌。影像左側的黃色星號(*)標示一塊相對均質、回聲稍強的實質性構造,位於脾靜脈的前方(anterior),且回聲較周遭結構略高。
根據腹部超音波解剖原則:
- 胰臟體部/尾部在橫切面上恆位於脾靜脈前方
- 脾靜脈沿胰臟後緣(posterior border)從脾臟走向中線,再與腸繫膜上靜脈(superior mesenteric vein, SMV)匯合形成門靜脈(portal vein)
- 胰臟在超音波上呈均質等回聲至高回聲(isoechoic to hyperechoic),回聲強度與肝臟相近或略高
因此,星號(*)所指之構造即為胰臟(pancreas),正確答案為 (D)。
選項分
...(解析預覽)...

升級 VIP 解鎖圖文解析