109年:放射診斷(2)
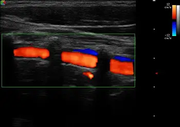
附圖是正常人體頸部彩色都卜勒影像,其中橘紅色部分為下列那一條血管? 
A總頸動脈
B內頸靜脈
C椎動脈
D外頸靜脈
詳細解析
本題觀念:
頸部彩色都卜勒超音波(color Doppler ultrasound)可區分頸部各主要血管。本題考查椎動脈(vertebral artery)在超音波影像上的特徵性表現——其於頸椎橫突孔間走行,在彩色都卜勒影像中呈現被橫突聲影間隔的橘紅色節段性血流訊號,為辨識椎動脈的關鍵特徵。
影像分析:
影像為頸部彩色都卜勒超音波縱切面影像。影像框(color box)內可見多段鮮豔橘紅色的血流訊號,各節段之間由數個暗帶(acoustic shadowing,聲影)規律地間隔分開。這些暗帶即是頸椎**橫突(transverse processes)產生的強聲影,橘紅色的血流節段則是在橫突孔(transverse foramina)之間穿行的血管。此種「橘紅色血流被橫突聲影規則間隔」的外觀,正是椎動脈(vertebral artery)**的典型彩色都卜勒特徵。橘紅色代表血液朝向探頭方向流動(由下向上朝腦部方向),與正常順行性椎動脈血流方向一致。影像右緣可見少量藍色訊號,代表椎靜脈(vertebral vein)中的血流方向相反(離開探頭)。
選項分析
(A) 總頸動脈(common carotid artery, CCA) 總頸動脈為頸部最粗大的動脈,在彩色都卜勒影像中呈現連續不中斷的長段血流訊號,走行於頸部淺層,不會被橫突聲影規律切斷。
...(解析預覽)...

升級 VIP 解鎖圖文解析