109年:放射診斷(2)
附圖為下腹部超音波掃描,影像中箭號所指為何? 
A膀胱癌
B結石
C血塊
D導管
詳細解析
本題觀念:
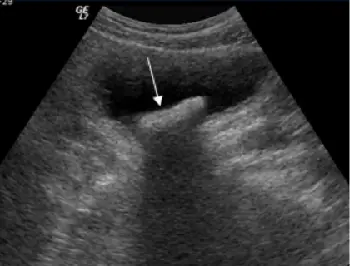
膀胱超音波掃描中,結石(calculus)的典型影像特徵為強回音(高回聲)結構合併後方聲影(posterior acoustic shadow),並具有隨體位改變的可移動性(mobility)。本題考查考生辨識下腹部超音波中膀胱結石的能力,並能與其他常見膀胱內充填缺損(血塊、腫瘤、導管)鑑別。
影像分析:
本影像為下腹部灰階超音波掃描(B-mode ultrasound),可見一個無回音(anechoic)的腔室,即充滿尿液的膀胱(urinary bladder)。
箭號所指所見:
- 影像中央偏後方可見一個強回音(hyperechoic)焦點,反射亮度明顯高於周圍軟組織
- 該強回音結構後方有典型的後方聲影(posterior acoustic shadow),呈現黑色帶狀區域,代表超音波無法穿透此結構
- 結構輪廓較清晰,位於膀胱腔內(而非附著於膀胱壁)
影像解讀: 上述強回音合併後方聲影,加上位於膀胱腔內(且可隨體位改變移動),為膀胱結石的典型超音波三聯徵:強回音 + 後方聲影 + 可移動性。此三項特徵足以與血塊(無聲影)、腫瘤(固著於膀胱壁、有血流訊號)及導管(圓形無回音球囊)區別。
選項分析
(A) 膀胱癌 膀胱癌(bladder cancer/urothe
...(解析預覽)...

升級 VIP 解鎖圖文解析