109年:放射診斷(2)
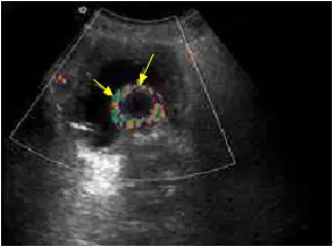
附圖為膀胱都卜勒超音波掃描,箭號所指最可能為何? 
A尿管氣球
B膀胱腫瘤
C偽動脈瘤
D尿液流動造成
詳細解析
本題觀念:
膀胱都卜勒超音波(bladder Doppler ultrasound)掃描中,Foley導尿管的氣球(balloon)會在彩色都卜勒(color Doppler)下產生特徵性的「環形火焰偽像(ring of fire artifact)」,表現為球囊周圍環繞著多彩色彩訊號。本題考查考生辨識膀胱都卜勒超音波中 Foley 導尿管氣球的能力,並能與腫瘤、偽動脈瘤及生理性尿液流動鑑別。
影像分析:
本影像為膀胱彩色都卜勒超音波掃描(color Doppler ultrasound),可見整體呈現扇形掃描視野。
箭號所指所見:
- 影像中央可見一個圓形(球狀)結構,具有低回音至無回音(anechoic)中心,周圍有薄層強回音壁
- 此圓形結構周圍環繞著豐富的彩色都卜勒訊號,呈現混合色彩(紅色、藍色、綠色等),形成一圈「環形火焰(ring of fire)」的外觀
- 黃色箭號指向兩處相似的彩色訊號位置
- 此彩色訊號並非真實血流,而是導管球囊界面與超音波探頭之間產生的都卜勒偽像(Doppler artifact)
影像解讀: 此「環形火焰」都卜勒偽像是 Foley 導尿管氣球在彩色都卜勒超音波下的典型特徵性表現。球囊充水後形成光滑曲面,其球型界面造成超音波信號的多重反射與相位偏移,使都卜勒系統誤判為
...(解析預覽)...

升級 VIP 解鎖圖文解析