109年:放射診斷(2)
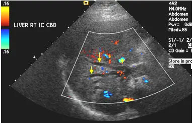
彩色超音波掃描如附圖,箭號所指處為何? 
A正常之門靜脈
B擴張之肝靜脈
C肝內膽道擴張
D肝內動脈擴張
詳細解析
本題觀念:
本題考察彩色超音波掃描(color Doppler ultrasound)在鑑別肝內管狀結構方面的應用,重點在於判斷肝內膽道擴張(intrahepatic biliary dilatation)的特徵性表現,並與門靜脈(portal vein)、肝靜脈(hepatic vein)及肝內動脈(hepatic artery)在彩色都卜勒(color Doppler)上的差異。
影像分析:
此彩色超音波影像標示「LIVER RT IC CBD」,顯示肝臟右葉區域。影像中可見:
- 箭號所指:黃色箭號指向肝內一組管狀無回音(anechoic)結構,這些結構呈現平行排列,緊鄰門靜脈走行,形成所謂的「平行管徵象」(parallel channel sign / double barrel shotgun sign)。
- 關鍵彩色都卜勒特徵:箭號所指的管腔內無彩色血流訊號(呈黑色/無色),而鄰近的門靜脈及小動脈則顯示有彩色血流訊號(紅色/藍色)。
- 影像右側可見少量彩色血流訊號,代表附近的血管結構(門靜脈分枝及肝動脈)有正常血流。
- 無彩色訊號的平行管腔結構即為擴張的肝內膽管,與門靜脈分枝平行走行,此為肝內膽道擴張的典型超音波表現。
選項分析
(A) 正常之門靜脈 門靜脈(portal vein)在彩色都卜
...(解析預覽)...

升級 VIP 解鎖圖文解析