109年:核醫診療(2)
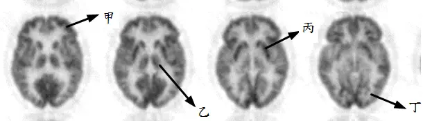
附圖為腦部 FDG-PET 影像,關於各部位的解剖位置名稱,下列敘述何者錯誤? 
A甲-額葉( frontal lobe )
B乙-杏仁核( amygdaloid )
C丙-基底核( basal ganglia )
D丁-枕葉( occipital lobe )
詳細解析
本題觀念:
本題考查腦部 FDG-PET(氟去氧葡萄糖正子斷層掃描)影像上各腦區的解剖位置辨認。正常腦部 FDG 攝取在灰質(gray matter)最高,其中基底核(basal ganglia)通常是全腦攝取最強的結構,顯現為明顯的雙側高亮區域。本題要求辨認甲、乙、丙、丁四個標記部位,找出標示錯誤者。
影像分析:
影像呈現四張連續的腦部軸位(axial)FDG-PET 切面,由左至右為由淺入深的切面序列。各標記位置分析如下:
- 甲:標示於最左側(最上層)切面的前方皮質區。此位置位於大腦前方、頭頂方向,對應額葉(frontal lobe)。正常 FDG 攝取均勻分布於灰質皮層,此處顯示正常皮質代謝活性。
- 乙:標示於同一左側切面的較深部、偏內側下方位置,箭頭指向腦室周圍的內側結構。此位置解剖上對應**視丘(thalamus)**或更深部的基底核相關區域,而非杏仁核(amygdaloid)。
- 丙:標示於第三張切面的雙側高亮對稱結構,位於大腦深部中央偏側方,為 FDG 攝取最旺盛的區域,對應基底核(basal ganglia)(含尾狀核 caudate nucleus、殼核 putamen、蒼白球 globus pallidus)。
- 丁:標示於最右側(最低層)切面的後方皮質區,對應大腦最後方的**枕葉(oc
...(解析預覽)...

升級 VIP 解鎖圖文解析